Государственное образовательное учреждение высшего профессионального образования.
Российский государственный социальный университет филиал в г. Дедовске Кафедра социальной работы и психологии
Контрольная работа
по курсу: Анатомия и физиология человека
тема: Органы чувств (анализаторы)
Дедовск 2010
Содержание
Введение
1. Кожа. Кожный анализатор. Осязание
2. Орган зрения – глаз (зрительный анализатор)
3. Слуховой и вестибулярный анализаторы
Список использованной литературы
Введение
Органы чувств (Анализаторы)
В процессе эволюции у различных животных и человека возникли рецепторы, приспособленные для восприятия определенного вида раздражений: световых, цветовых, температурных и т.д. Эти возбуждения поступают в кору головного мозга. Органы чувств, или рецепторы, являются периферическими анализаторами. Рецепторы подразделяются на две группы: экстерорецепторы - рецепторы, воспринимающие раздражения из внешней среды, и интерорецепторы - рецепторы, воспринимающие раздражения, возникшие внутри организма. Органы чувств занимают наиглавнейшее место в жизнедеятельности человека, способствуя его социализации и различной психологической адаптации.
1. Кожа. Кожный анализатор. Осязание
Кожа — наружный покров организмачеловека, защищающий тело от широкого спектра внешних воздействий, участвующий вдыхании,терморегуляции, обменных и многих других процессах. Кроме того, кожа представляет массивноерецепторное полеразличных видов поверхностнойчувствительности(боли, давления, температуры и т. д.).
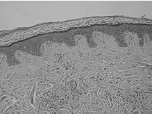
Строение кожи

Кожа в разрезе

Кожа состоит изэпидермиса,дермыи подкожно-жировой клетчатки (гиподермы).
- Эпидермисвключает в себя пять слоев эпидермальных клеток. Самый нижний слой —базальный — располагается набазальной мембранеи представляет собой 1 ряд призматического эпителия. Сразу над ним лежитшиповатыйслой (3-8 рядов клеток с цитоплазматическими выростами), затем следуетзернистыйслой (1-5 рядов уплощенных клеток),блестящий(2-4 ряда безъядерных клеток, различим на ладонях и стопах) ироговойслой, состоящий из многослойного ороговевающего эпителия. Эпидермис также содержитмеланин, который окрашивает кожу и вызывает эффект загара.
- Дерма, или собственно кожа, представляет собой соединительную ткань и состоит из 2-х слоев —сосочковогослоя, на котором располагаются многочисленные выросты, содержащие в себе петли капилляров и нервные окончания, исетчатогослоя, содержащего кровеносные и лимфатические сосуды, нервные окончания, фолликулы волос, железы, а также эластические, коллагеновые и гладкомышечные волокна, придающие коже прочность и эластичность.
- Подкожно-жировая клетчаткасостоит из пучковсоединительной тканиижировых скоплений, пронизанных кровеносными сосудами и нервными волокнами. Физиологическая функция жировой ткани заключается в накоплении и хранении питательных веществ. Кроме того, она служит для терморегуляции и дополнительной защиты половых органов.
Помимо самой кожи в организме имеются её анатомические производные — образования, которые получают развитие из кожи и её зачатков. Различные выделения желёз, расположенных в коже, также являются частью наружного покрова организма.
Функции кожи
- защитная(барьерная) защищает организм от действия механических и химических факторов, ультрафиолетового излучения, проникновения микробов, потери и попадания воды извне
- терморегуляторнаяза счет излучения тепла и испарения пота
- участие в водно-солевом обменесвязано с потоотделением
- экскреторнаявыведение с потом продуктов обмена, солей и лекарств
- депонирование кровив сосудах кожи может находиться до 1 литра крови
- эндокринная и метаболическаясинтез и накопление витамина D, а также гормонов
- рецепторнаяблагодаря наличию многочисленных нервных окончаний.
- иммуннаязахват, процессинг и транспорт антигенов с последующим развитием иммунной реакции.
Различают:
- толстую кожу(на ладонях и подошвах) — образована толстым (400—600 мкм) эпидермисом, нет волос и сальных желёз;
- тонкую кожу(на остальных частях тела) — состоит из тонкого (70-140 мкм) эпидермиса; есть волосы и кожные железы.
Кожа - огромное рецепторное поле, посредством которого осуществляется связь организм с окружающей средой.
Иннервация кожи осуществляется как ветвями цереброспинальных нервов, так и нервамивегетативной нервной системы. Нервы вегетативной нервной системы иннервируют в коже сосуды, гладкую мускулатуру и потовые железы.
В коже находится большое количество рецепторов: болевых, температурных (тепловые и холодовые) и тактильных. Кожа усеяна специальными рецепторами, воспринимающими прикосновение и давление (около 500 000), но они распределены неравномерно. Особенно много их на ладонях рук. Температурные колебания воспринимаются двумя видами рецепторов: одни возбуждаются холодом, другие - теплом. Всего их 280 000, из них 30 000 реагируют на тепло, а 250 000 - на холод. Наиболее чувствительной к колебаниям температуры является кожа живота, а конечности - менее чувствительны к теплу, чем туловище. Открытые части тела менее чувствительны к холоду, чем прикрытые. Рецепторы, воспринимающие боль, разбросаны по всему телу. На 1 см2
приходится до 100 рецепторов. Есть люди, потерявшие болевую чувствительность (анальгезия), но сохранившие остальные чувства.
2. Орган зрения – глаз (зрительный анализатор)
Глаз(лат. oculus) — сенсорныйорган(органЗрительной системы) человека и животных, обладающий способностью восприниматьэлектромагнитное излучениевсветовомдиапазоне длин волн и обеспечивающий функциюзрения. Через глаз поступает примерно 90 % информации из окружающего мира.

Орган зрения является весьма чувствительным и одним из важных анализаторов, помогающим воспринимать внешний мир. Глаз помогает получению представления об освещенности предмета, его цвете, форме, величине, о расстоянии, на котором он находится, о движении предмета. При выполнении многих тонких работ глазу принадлежит первостепенное значение.
Раздражителем является свет, который раздражает рецепторы глаза, вызывает зрительные ощущения. Глаз имеет сложное строение и состоит из нескольких частей, каждая из которых отличается своими особенностями.
Глаз состоит из глазного яблока и вспомогательного аппарата. Глазное яблоко имеет не совсем правильную шаровидную форму и помещается в глазнице. Снаружи глазное яблоко покрыто белочной оболочкой - склерой, состоящей из соединительной ткани и имеющей белый цвет. Сзади в склере имеется отверстие, через которое входит зрительный нерв. Впереди склера прозрачна, более выпукла и образует прозрачную роговицу. Внутри склеры расположена вторая оболочка - сосудистая, снабженная кровеносными сосудами и пигментами. Передняя часть сосудистой оболочки находится за роговицей и образует радужную оболочку, в середине которой имеется отверстие - зрачок. Радужная оболочка снабжена мышцами, способствующими изменению просвета зрачка, она окрашена. Окраска зависит от наличия в ней пигмента: при большом количестве пигмента глаз имеет цвет - от коричневого (карий) до черного цвета, а серый, зеленоватый или голубой цвет объясняются недостаточностью пигмента. У альбиносов в радужной оболочке практически нет пигмента, глаза таких людей имеют красный цвет. За радужной оболочкой расположена прозрачная двояковыпуклая линза, имеющая форму чечевицы - хрусталик. Задняя сторона хрусталика более выпуклая. Сам хрусталик состоит из полужидкого вещества, находится в капсуле, прикрепленной с помощью связок к ресничному телу. Между роговицей и радужной оболочкой расположена передняя камера глаза, а между радужной оболочкой и хрусталиком - задняя камера глаза, в которых находится водянистая влага. Внутренняя полость глаза заполнена стекловидным телом. Стекловидное тело, роговица и хрусталик обладают лучепреломляющей способностью. Самая внутренняя оболочка (третья) глаза называется сетчатой оболочкой, или сетчаткой. Она имеет сложное строение - в ней различают 10 слоев клеток, особо важны палочки и колбочки. Место вхождения зрительного нерва называется слепым пятном (здесь нет палочек и колбочек), а место лучшего видения, где сосредоточены палочки и колбочки, называется желтым пятном. В центре желтого пятна есть углубление - центральная ямка.
Глаз защищен веками от действия света, кроме того, при моргании происходит равномерное распределение по глазу слезной жидкости, которая предохраняет глаз от высыхания. Слезная жидкость вырабатывается слезными железами (она содержит 97,8% воды, 1,4% органических веществ и 0,8% солей). Важной особенностью слезной жидкости является то, что она обладает бактерицидным действием. Брови предохраняют глаз от попадания пота, а ресницы задерживают пылевые частицы. Веки изнутри покрыты оболочкой - конъюнктивой (ее воспаление вызывает конъюнктивит). Она переходит на передний отдел глазного яблока, но не закрывает роговицы.
Двигательный аппарат глаза состоит из шести мышц, от сокращения которых зависят движения глазного яблока. Отдельные части глаза - роговица, хрусталик, стекловидное тело - обладают способностью преломлять проходящие через них лучи. Преломляющую силу отдельных частей и всей оптической системы глаза измеряют в диоптриях. Под одной диоптрией понимают преломляющую силу линзы, фокусное расстояние которой составляет 1 м. Если преломляющая сила увеличивается, то фокусное расстояние укорачивается. Отсюда следует, что линза, у которой фокусное расстояние равно 50 см, будет обладать преломляющей силой в две диоптрии (2Д). Наибольшее преломление происходит в хрусталике.
Глаз часто сравнивают с фотоаппаратом, в котором хрусталик выполняет роль линзы, а сетчатка - светочувствительной пластинки. В сетчатке глаза образуется обратное уменьшенное изображение. Светочувствительные элементы в сетчатке - палочки и колбочки - при попадании света раздражаются. В них происходят сложные химические превращения, в результате которых возникает возбуждение, передающееся по зрительному нерву в головной мозг. В коре головного мозга возникают зрительные ощущения. Мозговой отдел зрительного анализатора находится в затылочной доле больших полушарий. Приспособление глаза к получению отчетливых изображений предметов, находящихся на разных расстояниях, называется аккомодацией. Она связана с изменением кривизны хрусталика, вследствие чего меняется его преломляющая сила, и фокус лучей от рассматриваемого предмета всегда оказывается на сетчатке. Изменение кривизны хрусталика достигается сокращением и расслаблением ресничной мышцы. Нарушение зрения может выражаться в нечетком восприятии предметов. При близорукости изображения предметов оказываются не на сетчатке, а впереди нее, при дальнозоркости - за сетчаткой. Эти изменения наблюдаются при нарушении аккомодации или связаны с особенностями строения глазного яблока. У близоруких людей расстояние от хрусталика до сетчатки обычно несколько увеличено, а у дальнозорких - уменьшено. Для получения четких изображений рекомендуется носить очки с соответствующими линзами.
Особенность старческой дальнозоркости можно объяснить потерей хрусталиком эластичности, вследствие чего теряется способность к аккомодации. Старческая дальнозоркость исправляется ношением очков с двояковыпуклыми линзами. Обычное нормальное зрение осуществляется двумя глазами (бинокулярное). В каждом глазу на сетчатке получается изображение предмета, однако человек воспринимает их как одно. Для такого восприятия существенно, чтобы изображения попали на соответствующие участки сетчатки, находящиеся в желтом теле и центральной ямке. Когда изображение предмета падает на точки, находящиеся на разных расстояниях от центральной ямки (на несоответствующие точки), мы воспринимаем двойное изображение предмета.
Согласованное движение глаз способствует видению при изменении освещенности рассматриваемого объекта: глаза устанавливаются так, чтобы изображение попало на соответствующие точки сетчатки. Приспособление глаза к видению при разной степени освещенности называется адаптацией: приспособление к видению в темноте называется темновой адаптацией, а при яркой освещенности - световой адаптацией. Единственной светочувствительной частью глаза является сетчатка, в которой находится около 125 млн. палочек и 6,5 млн. колбочек. Кроме того, сетчатка содержит много сенсорных и вставочных нейронов и их аксонов. В месте выхода нерва сетчатка не содержит ни палочек, ни колбочек - образуется слепое место.
Наибольшая острота зрения находится в области центральной ямки. Колбочки воспринимают цвета, а палочки (они более многочисленны и расположены по периферии сетчатки) функционируют в сумерках или при слабом свете и не чувствительны к цвету. Зрительный пигмент палочек называется родопсином (зрительный пурпур) и состоит из белка опсина, а в качестве хромафора входит ретинал. Колбочки содержат иодопсин с тем же хромофором (ретиналом), но другим белком. На свету родопсин распадается, а в темноте снова восстанавливается. При воздействии на глаз вспышки света, продолжающейся лишь 0,000 001 с, мы видим свет в течение примерно 0,1 с. В образовании родопсина участвует витамин А. При нарушении образования родопсина развивается так называемая куриная слепота. Если превращение родопсина изучено достаточно хорошо, то химизм цветного зрения, происходящий в колбочках, изучен меньше. Выделено три типа колбочек, которые воспринимают красный, зеленый и синий цвет. Промежуточные цвета воспринимаются при одновременном раздражении колбочек двух или более типов. Цветовая слепота зависит от отсутствия в сетчатке колбочек одного или нескольких типов, что связано с отсутствием гена, контролирующего их образование. Форма цветовой слепоты называется дальтонизмом (по имени ученого Дальтона, у которого была обнаружена цветовая слепота).
Еще одним из дефектов зрения человека является астигматизм. При астигматизме кривизна роговицы неодинакова в разных плоскостях, поэтому световые лучи, лежащие в разных плоскостях, фокусируются не в одной точке. Для исправления зрения линзы шлифуются неравномерно, чтобы компенсировать неравномерную кривизну роговицы. Катаракта - потеря хрусталиком своей прозрачности. Чаще всего она встречается у старых людей. Катаракта приводит к слепоте. Такой хрусталик, потерявший прозрачность, удаляют. Зрение восстанавливается, но глаз теряет способность к фокусировке. В таком случае оперированный человек должен носить очки, заменяющие хрусталик. Иногда вставляют искусственный хрусталик.
3. Слуховой и вестибулярный анализаторы
Ухо — сложный вестибулярно-слуховой орган, который выполняет две функции: воспринимает звуковые импульсы и отвечает за положение тела в пространстве и способность удерживать равновесие. Это парный орган, который размещается ввисочных костяхчерепа, ограничиваясь снаружиушными раковинами.
Ухо человека воспринимает звуковые волны длиной примерно от 20 м до 1,6 см, что соответствует 16 — 20 000 Гц (колебаний в секунду).
Ухо человека воспринимает не только звуковые раздражения, но и является органом равновесия.

Ухо подразделяется на три отдела: наружное, среднее и внутреннее ухо. Залегает ухо в височной кости черепа.
Наружное ухо включает ушную раковину и наружный слуховой проход. Ушная раковина состоит из эластического хряща, его нет только в ушной мочке. Наружный слуховой проход выстлан железами, выделяющими ушную серу. От среднего уха он отделен барабанной перепонкой.
В среднем ухе помещаются слуховые косточки, соединенные друг с другом: молоточек, наковальня и стремечко. Полость среднего уха называется барабанной полостью, она выстлана слизистой оболочкой. При помощи евстахиевой трубы она сообщается с носоглоткой, а на внутренней стенке полости среднего уха имеются два отверстия: круглое и овальное. Круглое отверстие прикрыто перепонкой, овальное - стремечком. По слуховой трубе в барабанную полость попадает воздух, благодаря чему уравновешивается давление на барабанную перепонку со стороны барабанной полости с внешним давлением воздуха.
Внутреннее ухо имеет сложную форму и в нем различают два лабиринта - костный и перепончатый. Костный лабиринт включает улитку, преддверие и три полукружных канала. Улитка образует 2,5 оборота вокруг костного стержня. Преддверие находится между улиткой и полукружными каналами и представляет полость овальной формы. Полукружные каналы располагаются взаимно перпендикулярно по отношению друг к другу. Перепончатый лабиринт располагается внутри костного, стенки перепончатого лабиринта состоят из плотной соединительной ткани. Между костным и перепончатым лабиринтом находится жидкость - перилимфа, в перепончатом лабиринте тоже находится жидкость - эндолимфа. Перепончатый канал улитки на поперечном разрезе имеет треугольную форму и соответственно три стенки - пластинки. Одна пластинка сращена с костной стенкой улитки, другая разделяет улитковый ход и лестницу преддверия, третья - улитковый ход и барабанную лестницу улитки (в улитке пространство, в котором находится перилимфа, при помощи перепончатого канала улитки и специальной костной пластинки разделено на две части - лестницы: одна - лестница преддверия, другая - барабанная лестница и они сообщаются между собой только у верхушки улитки). Барабанная лестница улитки состоит из большого количества фиброзных волокон - слуховых струн, натянутых в поперечном направлении. В улитковом ходе на слуховых струнах находится так называемый кортиев орган, состоящий их эпителиальных клеток различной формы, среди которых есть чувствительные слуховые клетки. На этих слуховых клетках оканчиваются волокна нерва улитки - таким образом, кортиев орган является звуковоспринимающим аппаратом внутреннего уха.
Преддверие и полукружные каналы вместе составляют вестибулярный аппарат, в котором также имеются чувствительные клетки. Вестибулярный аппарат является органом восприятия положения и движения тела в пространстве. К чувствительным клеткам вестибулярного аппарата также подходят нервные волокна. Звук проходит через слуховой проход и вызывает колебания барабанной перепонки, которые передаются через косточки среднего уха (молоточек, наковальню и стремечко) и овальное окно жидкости, находящейся в канале преддверия. Поскольку жидкости несжимаемы, жидкость преддверия передает колебания на круглое окно, как бы вызывая выбухание его. Звуковая волна таким образом передается на перилимфу внутреннего уха, а колебания перилимфы, в свою очередь, вызывают через стенку перепончатого канала улитки колебания эндолимфы, которые передаются на кортиев орган. Этот орган состоит из пяти рядов клеток с выступающими волосками: ряды клеток тянутся вдоль спирали улитки по всей ее длине. В каждом кортиевом органе около 24 000 таких клеток, расположенных на базилярной мембране, отделяющей канал улитки от барабанного канала. Над волосковыми клетками нависает другая мембрана - текторальная, прикрепленная одним своим краем к мембране, на которой расположены волосковые клетки, другой край мембраны остается свободным. Возникающие в волосковых клетках импульсы распространяются по волокнам слухового нерва. Движения базилярной мембраны при пульсациях вызывают трения волосковых клеток кортиева органа о нависающую над ним текторальную мембрану, раздражая окончания дендритов слухового нерва, лежащие у основания каждой волосковой клетки. Звуки разной высоты (частоты) вызывают вибрацию определенных волосковых клеток. Высота звука зависит от частоты колебаний воздуха в секунду. Высокие тоны (тонкие звуки и голоса) имеют большую частоту колебаний, а низкие тоны (грубые, басистые звуки и голоса) - меньшую частоту колебаний. Чем больше величина колебаний, тем сильнее звук (сила звука). Тембр - особенность звука, благодаря которой человек может различать даже звуки одинаковой силы и высоты, но произведенные разными инструментами, например скрипки и пианино. Человеческое ухо воспринимает от 16 до 20 000 колебаний в секунду. Верхняя граница с возрастом изменяется: чем старше человек, тем меньше колебаний способно воспринимать его ухо. Максимальное количество колебаний, которое может воспринимать ухо человека в 35 лет, составляет 15 000, а в 50 лет - даже 13 000. Ухо почти не утомляется, утомление может быть связано частично не с самим ухом, а с головным мозгом. Глухота наступает часто вследствие повреждения или аномалий звукопроводящих механизмов наружного, среднего или внутреннего уха: образование серной пробки в наружном слуховом проходе, срастание косточек среднего уха, повреждение внутреннего уха или слухового нерва в результате местного воспаления или перенесенного заболевания. Определение положения тела в пространстве и его перемещения происходят при участии различных органов чувств: зрения, рецепторов осязания, рецепторов мышечно-суставной чувствительности и др. Лабиринт внутреннего уха состоит, помимо улитки, из двух небольших мешочков - круглого и овального - и трех полукружных каналов, внутри которых находится эндолимфа, а снаружи - перилимфа. В мешочках находятся мелкие камешки - отолиты, состоящие из углекислого кальция. Под действием силы тяжести отолиты оказывают давление на определенные волосковые клетки, которые выстилают мешочки изнутри, эти раздражения передаются в головной мозг. При изменении положения головы (наклон) изменяют свое положение и отолиты, они давят уже на другие клетки и раздражают их. Волосковые клетки имеются и в полукружных каналах. При повороте головы перемещение жидкости в каналах отстает от этого движения, так что волосковые клетки движутся относительно жидкости и получают стимулы от ее движения. Человек привык к перемещениям в горизонтальной плоскости, раздражающим полукружные каналы определенным образом, но вертикальные движения (параллельные длинной оси тела) для него непривычны. Такие движения (подъем по лестнице или в лифте, морская качка) раздражают полукружные каналы необычным образом и могут вызвать тошноту и рвоту. Возникшее возбуждение по нерву преддверия передается в головной мозг. В коре головного мозга возникает ощущение положения тела в пространстве и подается команда изменения тонуса различных групп мышц, что приводит к изменению положения головы и туловища, благодаря этому сохраняется равновесие тела. При поражении вестибулярного аппарата у человека наблюдаются расстройство движения, головокружения и другие нарушения.
Список использованной литературы
осязание вестибулярный зрительный экстерорецептор интерорецептор
1. Биология: Пособие для поступающих в вузы, под ред. М.В.Гусева и А.А. Каменского. – Издательство Московского университета, 2002. – Москва "МИР", 2002.
2. Биология: Справочное пособие для старшеклассников и поступающих в вузы. – М.: АСТ-ПРЕСС, 2001.
3. Самаль И.Н. Анатомия, физиология и патология органа зрения: Учебное пособие. – Псков: 2004.
4. Всемирная сеть Интернет (Wikipedia).
|