Курсовая работа: Структурный гомеостаз не лактирующей молочной железы
|
Название: Структурный гомеостаз не лактирующей молочной железы Раздел: Рефераты по медицине Тип: курсовая работа | ||||||||||||||||||||||||||||||||||||||||||||||||||||
Министерство образования и науки Российской Федерации Государственное образовательное учреждение высшего профессионального образования «Хакасский государственный университет им. Н.Ф. Катанова» Медико-психолого-социальный институт Кафедра морфологии, физиологии и патологии СТРУКТУРНЫЙ ГОМЕОСТАЗ НЕЛАКТИРУЮЩЕЙ МОЛОЧНОЙ ЖЕЛЕЗЫ Курсовая работа (по дисциплине «Гистология, цитология, эмбриология») Исполнитель: Юрова Кристина Сергеевна, студент группы ЛД- 21__________________ роспись студента: Абакан 2010 Содержание Введение ………………………………………………………………………..3 1. Обзор литературы 1.1 . Развитие молочной железы. ……..……………………………………4-5 1.2 . Строение молочной железы….………………………………..…….5-11 2. Материал и методы исследований 2.1. Материалы исследования……………………………………..…11-12 2.2. Методы исследования……………..……………………..……....12-14 3. Структурная характеристика нелактирующей молочной железы……………………………. …………………………………….14-15 Заключение……………………………………………………………………17 Вывод …………..……………………………………………………………..18 Список использованной литературы………………………………………..19 Введение В настоящее время патологии строения молочной железы встречаются очень часто. Такое заболевание как рак молочной железы стоит на первом месте среди онкологических заболеваний. По данным НИИ онкологии им. проф. Н.Н.Петрова Минздрава РФ в XXI веке количество заболевших раком молочной железы в год доходит за миллион . Что касается возраста, опасными считаются годы от 45 до 50, от 55 до 60 и самый пик (ежегодный прирост больных 7% при среднестатистическом 3%) приходится на период от 60 до 70 лет. Нельзя сказать, что молодые раком молочной железы не болеют: приходилось наблюдать злокачественные образования и в 15 лет, и во время беременности, когда рост опухоли резко ускоряется. Однако до сегодняшнего времени нет единого мнения о причинах этого заболевания. Предмет исследования - структурный гомеостаз покоящейся молочной железы. Объект исследования - покоящаяся молочная железа.
Задачи: 1. Дать структурную характеристику стромальным компонентам 2. Провести морфоколичественный анализ компонентов молочной железы Методы исследования: 1) световая микроскопия при увеличении 7х40; 2) медико-статистические методы. 1.1 Развитие молочной железы Источником развития молочных желез служат утолщения кожной эктодермы (молочные точки), от которых в подлежащую мезенхиму врастают эпителиальные тяжи, ветвящиеся в своей терминальной части. Это начинается на 6-й неделе и продолжается вплоть до 6-го месяца эмбриогенеза. На концах тяжей находятся клетки, из которых в последующем развиваются молочные альвеолы.
Рисунок 1- Морфогенез молочной железы (схема) I -закладка железы в эмбриогенезе; II -развитие выводных протоков в эмбриогенезе; III - период наступления половой зрелости (начало развития концевых отделов); IV - нелактирующая молочная железа взрослой женщины; V - лактирующая молочная железа; 1- утолщение эпидермиса ( молочная точка); 2- эпителиальные тяжи; 3- формирующиеся выводные протоки; 4- концевые отделы; 5- лактирующие концевые отделы. Несмотря на не полное развитие желез, у новорожденных обнаруживается секреторная деятельность, которая продолжается в течении недели и затем прекращается до наступления половой зрелости. В течение детского возраста происходит разрастание разветвлений молочных ходов (рисунок 1). С наступлением половой зрелости развитие железистых трубок ускоряется и к началу менструации на молочных ходах появляются первые концевые отделы. В течение овариально-менструального цикла происходят циклические изменения концевых отделов: в первые дни после менструации они подвергаются обратному развитию, а во второй половине цикла вновь появляются. Однако у девушек молочная железа не достигает окончательного развития, которое наблюдается только при беременности в период лактации. 1.2 Строение не лактирующей молочной железы Молочная железа относится к типу апокринных желёз кожи, по строению является сложной альвеолярной. У половозрелой женщины молочные железы образуют два симметричных полушаровидных возвышения, прилегающих к передней грудной стенке в области между третьим и шестым или седьмым ребром. Большей частью своего основания каждая железа прикреплена к большой грудной мышце и частично к передней зубчатой мышце. С наружной стороны между молочными железами имеется углубление, называемое пазухой. Немного ниже середины каждой груди, примерно на уровне четвёртого межрёберного промежутка или пятого ребра, на поверхности имеется небольшой выступ - грудной сосок. Как правило, у нерожавших женщин сосок имеет конусообразную форму, у рожавших - цилиндрическую. Он окружён так называемой ареолой диаметром 3-5 см. Пигментация кожи соска и ареолы отличается от остальной кожи — она заметно более тёмная. У нерожавших женщин - розоватая или тёмно-красная, у рожавших - буроватая. Во время беременности интенсивность пигментации усиливается. При половом возбуждении, а также в фазе овуляции наблюдается повышение эректильности соска и его чувствительности. Эрекция соска обусловлена сокращением мышечных волокон, находящихся внутри него, и в отличие от эрекции клитора не связана с кровообращением. В околососковом кружке имеется некоторое количество небольших рудиментарных молочных желёз, так называемых желёз Монтгомери, образующих вокруг соска небольшие возвышения. Кожа соска покрыта мелкими морщинами. Тело молочной железы состоит из 15-24 долей и нескольких сотендолек. Конусовидные доли молочной железы, окружённые рыхлой соединительной тканью и небольшим количеством жировой клетчатки, состоят из множества долек, также отделённых друг от друга соединительной тканью. Молочная железа пронизана сетью млечных протоков. Каждая доля имеет свой выводной молочный проток, направляющийся от верхушки доли к соску. Выводные молочные протоки открываются на верхушке соска в виде 8-14 выводных отверстий диаметром 0,2-0,3 мм. Число молочных протоков превышает число молочных отверстий, так как некоторые протоки перед впадением в молочное отверстие сливаются между собой (рисунок 2). · основной млечный проток · ветви первого порядка · ветви второго порядка (междольковые) · ветви третьего порядка (поддольковые) · дольковый проток четвёртого порядка · внутридольковый проток пятого порядка · протоки вставочных отделов · альвеола молочной железы · Магистральный, характеризующийся длинным стволом и постепенным отхождением вторичных ветвей (21%); · Рассыпной – основной ствол короткий, вторичные ветви отходят почти в одном месте (67,1%); · Раздвоенный – характерно раздвоение основного выводного протока с отхождением вторичных ветвей аналогично таковому при магистральном типе ветвления (7%); · Петлистый – сплошная крупно- и мелкопетлистая сеть протоков, основная магистраль практически отсутствует (4,9%).
Рисунок 2- Строение молочной железы 1 — грудная стенка; 2 — грудные мышцы; 3 — молочная доля; 4 — грудной сосок ; 5 — ареола; 6 — молочный проток; 7 — жировая ткань; 8 — кожа
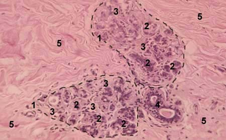
Рисунок 3- Нелактирующая молочная железа 1-дольки железы; 2- зачатки концевых секреторных отделов; 3-внутридольковая соединительная ткань; 4- междольковый выводной проток; 5- междольковая соединительная ткань Кровоснабжение молочной железы осуществляется в основном внутренней грудной (a.mammaria interna, ветвь a.subclavia) и боковой грудной(a.thoracica lateralis, ветвь a.axillaris) артериями. Задняя поверхность железы снабжается кровью от проникающих в неё тонких ветвей межрёберных артерий (rami a.intercostales, от третьей до седьмой). Все артерии анастомозируют между собой и окружают железистые дольки и протоки артериальной сетью. Глубокие вены сопровождают артерии и вливаются в подмышечную и надключичную вены, во внутреннюю грудную и верхнюю полую вену. Поверхностные вены образуют подкожную сеть, связанную с подмышечной веной.
2.1 Материал исследования Кусочки тканей молочной железы, размером 1×0,5 исследовались после фиксации в растворах формалина 10%. Материал, приготовленный из фиксированных структур, предварительно обезвоженный, был уплотнен путем пропитывания парафином. Материалом для микроскопического исследования строения стромальных компонентов молочной железы человека явились готовые микропрепараты молочной железы 20 человек. Гистологический препарат представлял собой тонкий срез, произведенный на специальном приборе-микротом. Процесс изготовления гистологического препарата для световой микроскопии включал следующие основные этапы: 1) взятие материала и его фиксация; 2) уплотнение материала; 3) приготовление срезов; 4) окрашивание срезов гемотоксилин –эозином. Фиксация обеспечивает предотвращение процессов разложения, что способствует сохранению целостности структур. Это достигается тем, что взятый из органа маленький образец либо погружают в фиксатор (спирт, формалин, растворы солей тяжелых металлов, осмиевая кислота, специальные фиксирующие смеси), либо подвергают термической обработке. Под действием фиксатора в тканях и органах происходят сложные физико-химические изменения. Наиболее существенным из них является процесс необратимой коагуляции белков, вследствие которого жизнедеятельность прекращается, а структуры становятся мертвыми, фиксированными. Фиксация приводит к уплотнению и уменьшению объема кусочков, а также к улучшению последующей окраски клеток и тканей. Уплотнение кусочков, необходимое для приготовления срезов, производится путем пропитывания предварительно обезвоженного материала парафином, целлоидином, органическими смолами. Более быстрое уплотнение достигается применением метода замораживания кусочков, например в жидкой углекислоте. Приготовление срезов производилось на специальных приборах- микротомах. Затем готовые срезы окрашиваются гематоксилином и эозином. 2.2 Методы исследования Морфометрия это важное условие для возможности проведения анализа и сравнения полученных результатов; она включала в себя гистостереометрию с помощью морфометрической сетки Автандилова и измерения структур при помощи морфометрической линейки, встроенной в окуляр микроскопа. Учитываются следующие элементы: - Высота эпителия; - Ширина мышечного слоя артерий и вен; - Ширина просвета вен и артерий; - Диаметр вен и артерий; - Объем волокон, клеток и аморфного вещества в строме молочной железы; Гистостереометрия с помощью морфометрической сетки основывается на определении удельного объема (в процентах) различных компонентов, выявляемых по количеству совпавших точек на морфометрической сетке Автандилова, вмонтированной в окуляр светового микроскопа. Начальное поле зрения с 25 равноудалёнными точками устанавливается по краю собственного и считают количество совпадений точек с конкретными компонентами ткани и рассчитывают их удельный процент в общей конструкции органа. При измерении удельного объема учитывались объем волокон, клеток и аморфного вещества в строме молочной железы. Методами линейных измерений при прямом микроскопическом исследовании измерительной линейкой при 280 кратном увеличении микроскопа определяли высоту эпителия, ширину мышечного слоя вен и артерий, ширину просвета вен и артерий и диаметр вен и артерий. В каждом препарате методом случайной выборки проводилось измерение каждого параметра 10 раз. Выборочное среднее является той точкой, сумма отклонений всех рассматриваемых наблюдений от которой равна 0. Формула для выборочного среднего имеет вид: Стандартное отклонение отражает вариабельность в значениях данных и равно корню квадратному из выборочной дисперсии. Стандартная ошибка среднего – отражает точность выборочного среднего. Увеличение объема выборки приводит к снижению стандартной ошибки, что может увеличить точность исследования. Формула для её вычисления выглядит следующим образом: Техника приготовления и окраски препаратов детально описана в руководствах по гистохимии Э.Пирсом (1962) и гистологической технике Г.А.Меркуловым (1969). В целях объективизации, полученные цифровые данные обработаны методами вариационной статистики на электронной таблице MS EXEL-2010 и Biostat 2009. Вычислялись среднее арифметическое, стандартное отклонение и ошибка среднего, результат представлен в виде М ± в ; ( М- средние арифметическое; ± в - стандартное отклонение, m- ошибка средней). 3.Структурная характеристина нелактирующей молочной железы С помощью морфометрической сетки Автандилова проводили гистостереометрию структурных компонентов молочной железы. Полученные результаты представлены в таблице 1. Таблица 1 – удельные объемы структурных компонентов молочной железы
Из полученных результатов видно, что наибольший удельный объем имеют млечные ходы. Волокон стромы и аморфного вещества примерно одинаковое количество, а клеток находящихся в аморфном веществе меньше всех. Млечные ходы в железе выстланы цилиндрическим эпителием, который лежит на базальной мембране, и при расчете выявили, что его высота 15,93 мкм +/-0,05. Методом линейных измерений с помощью морфометрической линейки, встроенной в окуляр микроскопа измеряли диаметр артерий и вен молочной железы, ширину их просветов и ширину мышечных оболочек.полученные данные отражаются в таблице 2. Таблица 2 – Количественная характеристика артерий и вен молочной железы
Из полученных результатов видно, что диаметр, просвет и мышечная оболочка артерий почти в 2 раза меньше тех же характеристик вен молочной железы. А судя по толщине мышечных оболочек их можно отнести к мышечному типу. Заключение Строение молочной железы различно в детском, юношеском, детородном, старческом возрастах, во время беременности и лактации. Молочная железа состоит из 15-24 долей и нескольких сотен долек. Конусовидные доли молочной железы, окружённые рыхлой соединительной тканью, содержащей в себе аморфное вещество (21,96 ± 3,21) и волокна(23,97±3,61), которые примерно одинаковы по объему, клетки соединительной ткани(10,75±1,94), артерии(104,97±0,05) и вены(160,23±0,21), а также жировую клетчатку, ее количество, зависит от общего количества жира в организме. Доли состоят из множества долек, также отделённых друг от друга соединительной тканью. Молочная железа пронизана сетью млечных протоков по объему занимающих первое место среди структурных компонентов молочной железы. Каждая доля имеет свой выводной молочный проток имеющий наибольший удельный объем среди остальных структурных компонентов железы(43,3 ±4,07) . Он направляется от верхушки доли к соску. Выводные молочные протоки открываются на верхушке соска в виде 8-14 выводных отверстий. Число молочных протоков превышает число молочных отверстий, так как некоторые протоки перед впадением в молочное отверстие сливаются между собой. Основываясь на полученных данных, отражённых в работе , можно говорить о микроскопическом строении исследуемого органа в норме. При отклонении параметров от нормы, можно предполагать патологические явления. Выводы 1. Наибольший удельный объем среди компонентов молочной железы занимают млечные протоки (43,3 ±4,07),волокна и аморфное вещество имеют примерно одинаковый объем (23,97±4,07;21,96±3,21 соответственно). 2. Артерии и вены молочной железы относят к мышечному типу. Диаметр вен значительно превышает диаметр артерий (примерно в 2 раза). Список использованной литературы 1. Гистология, цитология и эмбриология: учебник/Под ред. Афанасьев Ю.И., Юрина Н.А.- Москва: медицина, 2002,- 737 с. 2. Гистология: учебник/Под ред. Данилов Р.К., Клишов А.А., Боровая Т.Г. –Санкт-Петербург: ЭЛБИ-СПБ, 2003, 365с. 3. Анатомия человека:учебник/Под ред. Привес М.Г., Лысенков Н.К, Бушкович В.И.- Санкт –Петербург: СПбМАПО ЗАО ХОКА, 2008, 719 с. 4. Курс Возрастной гистологии: учебное пособие для студентов медицинских вузов / сост. А.С. Пуликов, Т.Г. Брюховец, А.А. Данилов, С.Н. Ефремов, Л.Г. Левкович, Э.Д. Кривенко, Л.Е. Сухова; под ред. А.С. Пуликова. – Абакан: Издательство Хакасского государственного университета им. Н.Ф. Катанова, 2006. – 119с. 5. Руководство-атлас по гистологии, цитологии и эмбриологии . С. Л. Кузнецов, Н. Н. Мушкамбаров, В. Л. Горячкина. М., «Диаморф», 1999, 373 с. 6. Гистология, эмбриология, цитология: учебник / Под ред. Э.Г. Улумбекова, Ю.А. Челышева. – М. : ГЭОТАР-Медиа, 2007. – 408 с. 7 . Меркулов, В.В. Основы патогистологической техники / В.В. Меркулов. - М.: Медицина, 1984. - 368 с. 8 . Медицинская морфометрия. Автор: Автандилов Г.Г. Издательство: Москва медицина 1990. Год издания: 1990. Число страниц: 382. 9.Классификация заболеваний молочной железы[электронный ресурс]: http // www / mammology . info / gistologia . htm 10.Строение молочной железы [электронный ресурс]: http // simf . hlo . ru / gist / jps . shtml Введение В настоящее время патологии строения молочной железы встречаются очень часто. Такое заболевание как рак молочной железы стоит на первом месте среди онкологических заболеваний. По данным НИИ онкологии им. проф. Н.Н.Петрова Минздрава РФ в XXI веке количество заболевших раком молочной железы в год доходит за миллион . Что касается возраста, опасными считаются годы от 45 до 50, от 55 до 60 и самый пик (ежегодный прирост больных 7% при среднестатистическом 3%) приходится на период от 60 до 70 лет. Нельзя сказать, что молодые раком молочной железы не болеют: приходилось наблюдать злокачественные образования и в 15 лет, и во время беременности, когда рост опухоли резко ускоряется. Однако до сегодняшнего времени нет единого мнения о причинах этого заболевания.
Задачи: 1. Дать структурную характеристику стромальным компонентам 2. Провести морфоколичественный анализ компонентов молочной железы |


