Фармакогностическое изучение малины листьев малины обыкновенной
СОДЕРЖАНИЕ
ВВЕДЕНИЕ……………………………………………………………………….
ГЛАВА 1 ФАРМАКОГНОСТИЧЕСКАЯ ХАРАКТЕРИСТИКА МАЛИНЫ ЛИСТЬЕВ
1.1 Краткая ботаническая характеристика малины обыкновенной……………..
1.2 Использование в медицине………………………………………………….
1.3 Показатели качества плодов малины.
ГЛАВА 2 ФАРМАКОГНОСТИЧЕСКОЕ ИЗУЧЕНИЕ МАЛИНЫ ЛИСТЬЕВ…………………………………………………………………………..
2.1 Фармакогностический анализ малины листьев…………………………….
2.2 Анатомическое изучение малины листьев……………………………………
2.3 Определение влажности сырья………………………………………………
2.4 Определение содержания золы общей……………………………………
2.5 Определение содержания золы, нерастворимой в хлористоводородной кислоте разведенной 10 %................................................................................
2.6 Содержание других частей растения……………………………………
2. 7 Определение степени измельченности листьев малины………………….
2.8 Содержание почерневших, побуревших и пожелтевших листьев в сырье малины……………………………………………………………………………
- Определение минеральной примеси………………………………………
- Определение содержания дубильных веществ в листьях малины…
- Качественное определение флавоноидов
- Выводы к главе 2…………………………………………………….
ЗАКЛЮЧЕНИЕ………………………………………………………………………
СПИСОК ЛИТЕРАТУРЫ………………………………………………………….
ВВЕДЕНИЕ
Вирусные инфекции способствуют формированию хронических заболеваний дыхательных путей, являясь одной из причин возникновения пневмонии, отягощают течение других хронических заболеваний, способствуя их неблагоприятному исходу.
Для лечения такого рода заболеваний, актуальной является разработка лекарственных препаратов на основе лекарственного растительного сырья, которые выгодно отличаются от синтетических аналогов широким спектром терапевтического действия, малой токсичностью и связанной с этим возможностью длительного применения.
Весьма эффективными при профилактическом и терапевтическом использовании являются многокомпонентные препараты, содержащие биологически активные вещества, относящиеся к различным классам химических соединений, оказывающих комплексное воздействие на основные звенья патогенетического процесса.
Комплексное лечение химиотерапевтическими средствами и растительными препаратами повышает эффективность лечения и снижает проявление побочных эффектов.
На основании вышеизложенного, можно считать целесообразным провести фармакогностическое изучение исследования листьев малины обыкновенной.
Листья малины (Rubus idaeus L.) издавна используют в народной медицине разных стран. Согласно данным литературных источников, листья малины имеют богатый химический состав, что делает их ценным источником БАВ. Наибольшее значение имеют фенольные соединения, в том числе дубильные вещества и флавоноиды, обладающие противовоспалительным действием. Кроме того листья малины содержат сахара, органические кислоты, витамины.
Отвары и настои из листьев малины широко применяются при лечении бронхитов, ларингитов, при кашле.
Цель и задачи исследования
Целью настоящей работы является фармакогностическое изучение малины листьев малины обыкновенной.
Для достижения поставленной цели необходимо решить следующие задачи:
1.Изучить морфолого-анатомические признаки целых листьев
малины и измельченного сырья.
2.Исследовать химический состав малины листьев.
3.Определить товароведческие показатели сырья.
4.Определить содержание основных БАС.
Объект исследования: листья малины обыкновенной, собранные в Правобережном районе, в июле 2014 года.
Методы исследования: морфолого-анатомические методы анализа, химические методы, определение товароведческих показателей.
Место проведения: Лаборатория фармакогнозии кафедры фармации ГБОУ ВПО СОГМА.
ГЛАВА 1 ФАРМАКОГНОСТИЧЕСКАЯ ХАРАКТЕРИСТИКА МАЛИНЫ ОБЫКНОВЕННОЙ
1.1 Краткая ботаническая характеристика малины обыкновенной

Рис. 1. Малина обыкновенная. Rubus idaeus L.
Семейство Розоцветные Rosaceae
Народные названия: кошачья ягода, лесная малина. Используемые части: молодые листья, плоды - Rubi idaei folium, Rubi idaei fructum.
Малиновый куст достигает двухметровой высоты; у него слабо одревесневающие, нередко изогнутые и слабошиповатые стебли. Листья сложные, непарноперистые, конечный листочек с черешком.
Яйцевидные листочки с верхней стороны темнее, чем с нижней, на которой у них войлочное опушение. Цветки имеют окраску от белой до розовой, с 5 лепестками и располагаются в небольших рыхлых кистях. Цветет с мая по июнь. Лесная малина растет на солнечных лесных полянах, по опушкам лесов и косогорам, на отвалах и открытых склонах, даже по обочинам дорог - как на равнине, так и в горах. Чем выше места ее произрастания, чем суровее условия жизни, тем ароматнее ее плоды.
Малина широко распространена почти во всех районах России, кроме Арктики и пустынных районов.
Малина обыкновенная растение лесной зоны. Обитает на богатых влажных почвах, плохо переносит засуху, зимостойка. Растет, главным образом, по лесным опушкам, вырубкам, буреломам, на гарях и солнечных каменистых склонах. При восстановлении основного типа леса малина исчезла из состава растительного покрова. В горах (Саяны, Кавказ) нередко поднимается до верхней границы леса. По берегам рек, пойменным лесам, тенистым и сырым оврагам проникает в лесостепную и степную зоны [7, 14, 19, 21, 23].
Ориентировочно запасы свежих плодов малины в азиатской части России оцениваются в 2750 тыс. т, в том числе в Западной Сибири 500 тыс. т., на Дальнем Востоке 1450 тыс. т. В европейской части заготовку малины можно проводить в Псковской, Ярославской, Владимирской, Кировской, Пермской, Горьковской, Ивановской, Свердловской, Костромской Вологодской, Тверской, Смоленской и Ленинградской областях, в Марий Эл, Удмуртии, Татарстане, Башкортостане и Республике Коми. В Сибири промышленные заготовки возможны но всей равнинной таежной зоне и в горах Южной Сибири. Обильные урожаи малины обычно наблюдаются в средней полосе европейской части России через 3 4 года. Такая же закономерность отмечена и для других районов страны, например для Республики Коми и Северо-Восточного Алтая. Наиболее высокая продуктивность (до 3000 - 3200 кг/га свежих плодов) наблюдается на молодых гарях и вырубках [17, 28].
Заготавливают плоды малины при полном их созревании, с середины июля до конца августа. Сбор проводят в сухую погоду, после обсыхания росы. Складывают в корзины тонкими слоями, переложив их веточками или листьями. Сушить возможно на солнце или в печах при 60 - 80 °С, разложив тонким слоем и осторожно переворачивая. Выход сухого сырья 18 - 20 %. Листья и цветки заготавливают в мае - июне. Сбор производят в сухую погоду [1].
1.2 Использование в медицине
В официальной медицине ягоды малины применяют как потогонное и жаропонижающее средство при простудных заболеваниях, а также для улучшения вкуса лекарств [26]. Свежие ягоды 120 - 150г едят натощак раза в день при атеросклерозе, гипертонической болезни, гастритах, колитах, малокровии [18]. Они имеют специфический приятный вкус и аромат, утоляют жажду и улучшают пищеварение. Включение в диетические рационы ягод малины или продуктов из них значительно ускоряет лечение различных заболеваний желудочно-кишечного тракта, так как они обладают противорвотными, противовоспалительными и обезболивающими свойствами. Стакан сока малины снижает жар, используется в качестве целебного напитка при лихорадках, как вкусовая добавка к горьким лекарствам и как освежающий напиток [22].
Сушеные ягоды входят в состав многих лекарственных сборов. Так при кашле малину берут в равных количествах с семенами аниса, листьями мать-и-мачехи, липовым цветом (по 2 столовые ложки), 1 чайную ложку этой смеси заливают стаканом кипятка, заваривают как чай, употребляют по 3 4 стакана в день [16, 24]. Сухие плоды малины, заваренные в виде чая, обладают жаропонижающими и потогонными свойствами [13]. Чай из малины традиционно назначают при различных простудных заболеваниях (лечебный эффект зависит в основном от наличия в плодах салициловой кислоты). Плоды используют при простуде и воспалении легких как дополнение к противомикробным препаратам. Они существенно ускоряют процесс выздоровления при заболевании желудочно-кишечного тракта, сопровождающемся рвотой, воспалением, болью, кровотечением [20]. Свежезамороженные плоды и сушеную малину применяют как противосклеротическое средство благодаря наличию в растении жирных кислот и (3-ситостерина) [9, 10, 27]. Ягоды малины противопоказаны при нефритах и подагре, так как в плодах содержится много пуриновых оснований [1, 2, 5,6, 8].
В народной медицине ягоды употребляют для улучшения пищеварения, при цинге, малокровии, желудочных болях, настои и отвары - при рожистых воспалениях кожи и угрях на лице [3, 4, 11]. Помимо этого, в народной медицине ягоды малины считают «отрезвляющим» средством» [25]. Листья малины обладают вяжущим, противовоспалительным, антитоксическим, кровеостанавливающим свойствами. [12, 15]. Настой или отвар листьев рекомендуют при желудочных и геморроидальных кровотечениях, бронхитах, пневмонии, а также при сыпях, угрях. Листья малины действуют как легкое кровоостанавливающее и вяжущее средство и используются для лечения воспалений слизистой оболочки в полости рта, для полоскания горла при ангинах. Как все средства, содержащие дубильные вещества, они используются также против поноса. Тем не менее, в современной медицине листьям малины уделяют мало внимания. Отвары и настои из листьев или стеблей малины в народной медицине широко применяют при лечении простудных заболеваний, бронхитов, ларингитов, при кашле как отхаркивающее средство. Настои из листьев и цветков - при геморрое [17].
Настои цветков применяют наружно - для промывания глаз при конъюнктивитах и блефаритах. Верхушки ветвей малины с листьями настаивают как чай («малиновый чай») при острых респираторных заболеваниях и рожистом воспалении кожи. Корни и одревесневшие ветки малины применяют при неврастении и острых хронических инфекционных заболеваниях. Имеются сообщения о лечении бронхиальной астмы отварами корней малины. Р. Г. Шулейко разработаны суппозитории, содержащие масло малины, которые эффективны при лечении воспалительных заболеваний придатков матки. В тибетской медицине малина используется при острых простудных заболеваниях [20].
В гомеопатии используются плоды и листья малины. В Англии водный настой листьев малины применяют для уменьшения менструальных болей. В Британской Фармакопее описан сироп и сок плодов малины как корригирующее вкус и придающее приятный запах лекарственным средствам. Во Франции и в Германии листья малины используют в качестве противовоспалительного средства и при гинекологических заболеваниях.
1.3 Показатели качества плодов малины
Качество сырья плодов малины регламентируется ГОСТ 3525-75 «Плоды малины» и включает следующие числовые показатели: содержание влаги не более 15 %; общей золы не более 3,5 %; почерневших плодов не более 8,0 %; плодов, слипшихся в комки, не более 4 %; плодов с неотделенными цветоножками и цветоложами не более 2 %; измельченных частиц плодов, проходящих сквозь сито по ГОСТ 214-70 с диаметром отверстий 2 мм, не более 4 %; листьев и частей стеблей малины не более 0,5 %; посторонних примесей: органической (плоды и части других неядовитых растений) не более 0,5 %; минеральной (земля, песок, камешки) не более 0,5% [21, 22].
В плодах малины содержатся 10 - 12 % Сахаров (главным образом глюкоза и фруктоза), 5 - 6 % клетчатки, до 2 - 3 % органических кислот (лимонная, яблочная, винная), пектины, следы эфирных масел, слизь, дубильные и красящие вещества, а также витамины Вь В2, РР, фолиевая и аскорбиновая кислоты (от 64 до 93 мг %), каротин, соли меди и калия, а также салициловая кислота. Обнаружены спирты: этиловый, изоамиловый, фенилэтиловый; кетоны: ацетон, диацетил, антоциан, цианин. Найдены катехины (d - катехин, 1 - эпигаллокатехин), стерины (3 - р ситостерин), являющийся антагонистом холестерина [17]. Жом плодов малины содержитценную фракцию липидов, в состав которой входят пальмитиновая, стеариновая, линолевая, линоленовая, а - линоленовая жирные кислоты, также содержит каротиноиды, токоферол (не менее 130 мг %) и фитостерины. Следует отметить, что имеет место географическая изменчивость химического состава плодов малины.
Содержание в плодах малины обыкновенной глюкозы, фруктозы и сахарозы подвержено географической изменчивости: в лесной зоне (Вологодская, Ярославская и Рязанская области) содержание их выше, чем в лесостепной (Липецкая и Воронежская области) и степной (Ростовская обл.) зонах. Также по мере продвижения из лесной к степной зоне Русской равнины возрастает содержания кальция и калия, уменьшается содержание фосфора, а содержание железа, меди и цинка снижается в растениях лесостепной зоны и возрастает в растениях степной зоны. Содержание микроэлементов в плодах малины находится в прямой зависимости от состава почвы, на которой произрастает растение. Листья и цветки содержат дубильные вещества, флавоноиды, сахара, органические кислоты, витамин С и различные минеральные соли. Вследствие этого экстракт малины обладает мощными антиоксидантными свойствами.
Выводы по главе 1
1. Малина обыкновенная, широко распространена почти во всех районахРоссии. Листья малины содержат большое количество БАВ, и широкоприменяются в народной медицине разных стран, в том числе и в России.
2. Основные свойства групп веществ, находящихся в плодах и листьях
малины обыкновенной обуславливают фармакологические эффекты: вяжущий, противовоспалительный, отхаркивающий, антиоксидантный.
ГЛАВА 2 ФАРМАКОГНОСТИЧЕСКОЕ ИЗУЧЕНИЕ МАЛИНЫ
ЛИСТЬЕВ
2.1 Фармакогностический анализ малины листьев
Методы стандартизации лекарственного растительного сырья. Стандартизация - система норм качества сырья, продукции, методов испытания и т.д., установленная в общегосударственном порядке и обязательная для производителей и потребителей.
ГФ XI рекомендует следующие методы анализа растительного сырья: для листьев при макроскопическом анализе сырья отмечают форму и размеры листовой пластинки и черешка, опушение листа, характер края и жилкование, наличие эфиромасличных железок и других образований на поверхности листа или наличий вместилищ в мезофилле. Размеры длину, ширину листовой пластинки, длину черешка определяют с помощью линейки. Цвет определяют с обеих сторон при дневном освещении, запах - при растирании, вкус - водного извлечения [19, 26].
При микроскопическом анализе рекомендуется: для тонких листьев готовить препарат листа с поверхности, для кожистых - поперечные срезы.
Гистохимические реакции проводят на поперечных срезах и в порошке.
Качественные реакции проводят с извлечением из сырья.
Числовые показатели. В сырье определяют: влажность, содержание золы общей и золы, не растворимой в хлористоводородной кислоте разбавленной 10 %, содержание примесей.
2.1.2 Изучение малины листьев под бинокулярной лупой
Цельное и измельченное сырье - листья малины обыкновенной предварительно были размочены в горячей воде. Сырье изучали с помощью бинокулярной лупы МБС - 1 при увеличении х 4, х 2.
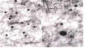
При рассмотрении верхней стороны цельного листа видны сетчато расположенные жилки. На каждом зубчике края листа располагается большое количество крупных волосков, направленных к верхушке зубчика. Каждый зубчик имеет пигментированную красно - коричневую верхушку своеобразной сосочковидной формы. Крупные волоски расположены вдоль крупных жилок на поверхности листа. Черешок покрыт мелкими волосками. При рассмотрении цельного листа с нижней стороны видно войлочное опушение. Особо крупные волоски располагаются по крупным жилкам. (Рисунок 5 а) При рассмотрении под бинокулярной лупой измельченного сырья малины также видны сетчато- расположенные мелкие светло-зеленые жилки, крупные волоски, расположенные по жилке и на зубчиках. Последние также имеют пигментированную верхушку (Рисунок 6). Нижняя сторона войлочно опушена, имеются крупные волоски по жилке (Рисунок 7).

Рисунок 2 - Нижняя сторона листа а - цельное сырье, б - измельченное сырье.(Увеличение х 4)
2.3 Анатомическое изучение малины листьев
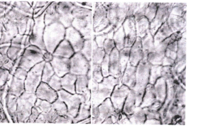
Сведения о микроскопическом строении листьев малины в доступной литературе практически отсутствуют [36]. Имеются лишь краткие сведения о строении эпидермиса листа. В связи с этим было необходимо провести исследование анатомического строения и анатомо-диагностических признаков листьев малины. Цельное сырье. При рассмотрении листа с поверхности видны с верхней стороны многоугольные полигональные клетки эпидермиса с прямыми, слабоизвилистыми и извилистыми стенками, длиной 20 - 62 мкм, шириной 8-33мкм.

Рисунок 3 - Малины листья. Верхний эпидермис.
Многоугольные полигональные клетки с прямыми стенками. Просвечивающие друзы, (слева ув. х 105; справа ув. х 200). С нижней стороны - клетки со слабоизвилистыми, извилистыми стенками. Клетки эпидермиса вдоль жилок вытянуты прямоугольной, веретеновидной и комбинированной формы. Видны простые волоски, устьица.

Рисунок 4 - Малины листья. Нижний эпидермис.
Простые тонкостенные волоски, места их прикрепления, устьица. (Ув. х 450) Кутикула с обеих сторон листа ровная. Устьица аномоцитного типа обильно расположены с нижней стороны листа (длиной 75-92 мкм, шириной 8-21 мкм; на зубчиках листа устьица более крупные гидотоды).
2.4 Определение влажности сырья
Вставить формулу
2.5. Определение содержания золы общей
Вставить формулу
2.7 Содержание других частей растения
В анализируемом сырье примеси находились в пределах от 0,75 до 4,48 % Учитывая, что более высокое содержание этих частей в сырье может отрицательно влиять на технологию получения и качество сухого экстракта, установлена норма содержания других частей растения не более 5 %.
2.9 Содержание почерневших, побуревших и пожелтевших листьев в сырье малины
Содержание почерневших, побуревших и пожелтевших листьев составило от 0,05 до 0,7 %. Этот показатель качества рекомендуем регламентировать нормой не более 1 %.
2.10 Определение минеральной примеси
Оставшуюся часть аналитической пробы от предыдущего определения помещали на чистую гладкую поверхность и пинцетом выделяли примеси.
К примесям относят:
- части сырья, утратившие окраску, присущую данному виду (побуревшие, почерневшие, выцветшие и т.д.)
- другие части этого растения, не соответствующие установленному описанию сырья;
- органическую примесь (части других неядовитых растений)
- минеральную примесь (земля, песок, камешки)
Каждый вид примеси необходимо взвешивать с погрешностью ± 0,1 г при массе аналитической пробы более 100 г и с погрешностью ± 0,05 г при массе аналитической пробы 100 г и менее.
Содержание каждого вида примеси в процентах (х) вычисляли по формуле:
, где
m1 масса примеси, г
m2 масса аналитической пробы сырья, г
В опытных, небольших по массе, партиях сырья
малины листья содержание минеральной примеси составило от 0,08 % до 0,5 % . Этот показатель предлагается регламентировать нормой не более 1 %.
В опытных, небольших по массе, партиях сырья малины листья содержание минеральной примеси составило от 0,08 % до 0,5 %. Этот показатель предлагается регламентировать нормой не более 1 %.
- Определение содержания дубильных веществ в листьях малины
- Качественное обнаружение флавоноидов в листьях малины
Выводы к главе 2:
- На основании макро и микроскопических исследований установлены диагностические признаки цельного и измельченного растительного сырья малины листья.
- Проведен анализ опытных партий сырья малины листья и установлены нормы показателей: влажность не более 7 %; содержание золы общей не более 8 %; содержание золы, нерастворимой в хлористоводородной кислоте разведенной 10 % не более 1 %; содержание других частей растения не более 5 %, содержание частиц, не проходящих через сито с отверстиями 7 мм не более 10 %, содержание пожелтевших, почерневших и побуревших листьев не более 1 % и содержание минеральной примеси не более 1 %.
- Проведено качественное определение дубильных веществ в листьях малины.
- Проведено качественное определение флавоноидов в литьях малины
ЗАКЛЮЧЕНИЕ
СПИСОК ЛИТЕРАТУРЫ
- Атлас лекарственных растений России /Д. Н. Анели и др. - М.: [ВИЛАР], 2006. - 345 с.4
- Бескровный, Р.П., Лекарственные растения в домашнем обиходе для людей и животных: заготовка, приготовление и применение. - СПб.: «Центр гомеопатии», 2005. - 208 е., с.86 - 87.8
- Гаммерман, А. Ф., Гром, И.И. Дикорастущие лекарственные растения СССР. - М.: Медицина, 1976. - 288 с.15
- Гизатулин, А.Н., Гизатулина, Ф.Т. Лекарственные растения в научной и народной медицине. - Троицк, 1999. - С. 117-119.18
- Гончарова, Т.А. Энциклопедия лекарственных растений: (лечение травами): В 2-х тт. Т.1 - М: Изд. Дом МСП, 1997. - с. 168.19
- Горбунова, Т.А. Атлас лекарственных растений. - М.: Аргументы и факты, 1995.-340 с.20
- Государственная фармакопея СССР. 10-е изд. // М.: Медицина, 1968. 22
- Журба, О.В., Дмитриев, М.Я. Лекарственные, ядовитые и вредные растения. - М.: Колос С, 2008. - 412с.: ил. - (Учебники и учебные пособия для студентов высших учебных заведений), с.47 - 48.27
- И. Казаков, И.В. Малина и ежевика. - М.: «Колос»,1993. - С.2531
- Ильин, В.С. Земляника, малина и ежевика. / В.С. Ильин. - Челябинск: Юж.- Урал.кн.изд-во, 2007. -344с. с. 101 - 105 .32
- Канд.хим.наук Вайткевич Станислав Амросьевич. Целебные растения и эфирные масла. - М.: Пищевая пром-ть. 2002. - 172с. с.93 - 94.35
- Квосев, П.А., Полный справочник лекарственных растений. - М.: Изд-во Эксмо,- 992 е., ил. с.822 - 823.37
- Ковалева, Н.Г. Лечение растениями. Очерки по фитотерапии. - М.: Изд. «Медицина», 1971, - 350 е., с. 316 - 322.38
- Корулькин, Д.Ю. Природные флавоноиды / Д.Ю. Корулькин, Ж.А. Абилов, P.A. Музычкина, Г.А. Толстиков; Российская академия наук, Сибирское отделение, Новосибирский институт органической химии. - Новосибирск: Академическое издательство «Гео», 2007. - 232 с.42
- Куреннов, И.П., Самые необходимые лекарственные растения. - М.: Мартен, - 192 е., с.90-92.45
- Лавренов, В.К., Лавренова, Г.В. Целебные растения народной медицины. 2-е изд., сокр. и перераб. - СПб: Издательский дом «Нева», 2004. - 272 е., ил. с. 142 -143.46
- Ловкова, М.Я., Рабинович,A.M., Пономарева, С.М., Бузук Г.Н., Соколова С.М. Почему растения лечат. // М.: Наука, 1989. С. 186 - 187.52
- Мазнев, Н.И. Лекарственные растения: 15000 наименований лекарственных растений, сборов и рецептов. Описания, свойства, применение, противопоказания. - М.: ООО ИКТЦ «ЛАДА», ООО ИД «РИПОЛ классик», ООО Издательство «Дом XXI век», 2006. - 1056 е., ил. с.649 - 653.53
- Муравьева, Д.А., Самылина, H.A., Яковлев, Г.П. Фармакогнозия: Учебник. - 4-е изд. перераб. и доп. - М.: Медицина, 2002. - 656 с.79.64
- Пастушенков, Л.В., Пастушенков, А.Л., Пастушенков, В.Л., Лекарственные растения: Использование в народной медицине и быту. - Методическое пособие. - СПб.: ДЕАН, 1998. - 384 е., с ил., с.157 - 158.68
- Самылина, И. А., Аносова О. Г. Фармакогнозия атлас - М.: ГЭОТАР - Медиа, 2007.-т. 1.-190 с.79
- Синяков, А.Ф. Живые лекарства. 180 целебных растений от всех болезней./ А.Ф. Синяков. - М.: Эксмо, 2009. - 608 с. - (Самые лучшие рецепты здоровья), с.278 - 280.82
- Ткаченко, А.Г., Лекарственные растения: Атлас-определитель. - М.: ЗАО «Фитон+», 2008.-200 е.: ил. с.92 - 94.91
- Федеральный реестр биологически активных добавок к пище / Под. Ред. Т.Д. Пилат. - М.: Когелет, 2001. - 431 с.92
- Хайруплина, В. Р., Гарифуллина, Г. Г., Герчиков, А. Я. Антиокислительная активность экстрактов растений сем. Geraniaceae, Rosaceae на примере изопропилового спирта // Химико - фармацевтический журнал. - 2005. - № З.-С. 28-30.96
- Шулейко, Р. Г. Стандартизация жом плодов малины обыкновенной, липидного комплекса и лекарственных средств на его основе./ Дисс. на соиск. уч. степ. Канд. Фармац. Наук. - М. 2000.104
- Ярославцев, Е.И. Малина и ежевика. - М.: Изд.Дом МСП, 2009. - 144с., ил., с.5 -6.105
- Martindale. The extra Pharmacopeia. - XXXI Edition. - Royal Pharmaceutical society, London, 1996.108
- Бескровный, Р.П., Лекарственные растения в домашнем обиходе для людей и животных: заготовка, приготовление и применение. - СПб.: «Центр гомеопатии», 2005. - 208 е., с.86 - 87.8
PAGE \* MERGEFORMAT1
Фармакогностическое изучение малины листьев малины обыкновенной