Сестринская деятельность с онкологическими больными
Содержание
|
Введение Основная часть Глава 1 Онкология 1.1 Общие понятия об онкологии. Виды онкологических заболеваний органов пищеварения 1.2 Опухоли пищеварительного тракта у детей 1.3 Рак пищевода. Симптомы. Диагностика и лечение 1.4 Рак желудка. Симптомы. Диагностика и лечение 1.5 Рак толстой кишки. Симптомы. Диагностика и лечение Глава 2 Сестринская деятельность 2.1 Подготовка к инструментальным методам исследования. 2.2 Ведение пациентов в предоперационном и послеоперационном периоде Заключение Список литературы Приложения Приложение 1 (название) |
3 Стр. 5 Стр. 5 Стр. 5 Стр. 6 Стр. 9 Стр. 11 Стр. 13 Стр. 14 Стр. 14 Стр. 19 Стр. 25 Стр. 27 Стр. 28 Стр. |
ВВЕДЕНИЕ
Давно уже стала крылатой медицинская заповедь “здоровье надо беречь смолоду”. Смысл этой народной мудрости многие из нас, к сожалению, постигают лишь в зрелые, а нередко и в престарелые годы. Не секрет, что здоровые люди часто не осознают этого своего преимущества и, в конце концов, расплачиваются за такое легкомыслие. Основным фактором сохранения здоровья, продолжительности жизни человека, его физической и творческой работоспособности является здоровый образ жизни в самом широком его толковании.
Итак, на сегодня смертность населения в России самая высокая в Европе. Мы отстаем не только от стран Западной Европы, но и от Польши, Чехии, Румынии и стран Балтии. Одной из главных причин смертей населения, являются злокачественные опухоли. Например, в 2005 году от злокачественных новообразований умерло 285 тысяч человек! Наиболее частыми были опухоли легкого, трахеи, желудка, молочной железы.
Онкология (греч. Onkos масса, опухоль + logos учение) область медицины, изучающая причины возникновения, механизмы развития и клинические проявления опухолей и разрабатывающая методы их диагностики, лечения и профилактики.
В сущности, онкологические заболевания возникают от того, что определенная клетка или группа клеток начинает размножаться и беспорядочно расти, вытесняя нормальные клетки в организме человека любого возраста. Органы пищеварения в значительной степени подвержены опасности развития онкологии. Причиной тому становятся изменившиеся условия жизни смена продуктов питания, смена образа жизни с активного физически до пассивного, смена распорядка дня. Для многих, подобные изменения неизбежны, для многих приятны. Тем не менее, статистика заболевания раком пищеварительной системы в агрессивной форме даёт понять, как важно правильно питаться и двигаться для того, кто хочет нормально жить.
Современные методы диагностики и лечения позволяют своевременно обнаружить злокачественное новообразование и излечить более половины детей и взрослых.
Данную тему я выбрала потому, что она является актуальной в наше время, также для расширения кругозора и ещё потому, что это может коснуться любого человека.
Цель моей работы:
- Познакомиться с причинами возникновения онкологических заболеваний;
- Изучить методы сестринских вмешательств при диагностики и лечении опухолей;
- А также узнать, как осуществить сестринскую деятельность за больными при онкологических заболеваниях органов пищеварения.
Для реализации цели я поставила перед собой следующие задачи:
- Развитие навыков работы с научной литературой;
- Умение выбирать главное;
- Структурировать текст;
- Грамотность выражения своих мыслей;
- Расширение кругозора знаний в области онкологии;
- Использование полученных знаний в своей практической деятельности.
Объект: онкологические больные.
Предмет исследования:
- Причины онкологических заболеваний;
- Классификация опухолей органов пищеварения;
- Профилактика и лечение онкологических заболеваний;
- Сестринская деятельность.
ГЛАВА 1 ОНКОЛОГИЯ
1.1 Общие понятия об онкологии. Виды онкологических заболеваний органов пищеварения
Онкология (от греч. Onros вздутость, logos наука) - наука, изучающая причины возникновения, механизмы развития и клинические проявления опухолей и разрабатывающая методы их диагностики, лечения и профилактики.
В сущности онкологические заболевания возникают от того, что определенная клетка или группа клеток начинает размножаться и беспорядочно расти, вытесняя нормальные клетки.
По способности к распространению в организме опухоли делят на две группы:
- Доброкачественные (не обладающие способностью прорастать в соседние ткани);
- Злокачественные (способные к разрастанию в определенных тканях и перемещению в другие части тела, давая начало вторичным опухолям метастазам).
В структуре смертности населения России рак занимает второе место после сердечно-сосудистых заболеваний. У человека наиболее изученными причинами рака являются радиация, химические канцерогены и вирусы.
Биологические свойства опухолей
- Ускоренный рост;
- Способность клеток к постоянному делению (отсутствие клеточного старения);
- Нерегулируемость миграции;
- Утрата злокачественной клеткой контактного торможения при ее росте и размножении;
- Способность к метастазированию;
- Прогрессирование злокачественного процесса.
1.2 Опухоли пищеварительного тракта у детей
Ювенильные полипы кишечника
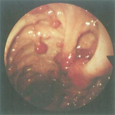
Это самый частый вид опухолей кишечника у детей. Обычно полипы (Приложение 1.1) возникают у детей старше 12 мес. и только в редких случаях у подростков старше 15 лет.
Симптомы заболевания
- Нарушения обмена веществ (связанные с расстройствами пищеварения, всасывания и моторики кишечника);
- Безболезненные ректальные кровотечения (кровь может быть на поверхности каловых масс или смешана с ними);
- Железодефицитная анемия (из-за микроскопических потерь крови).
Диагностика
- Диагноз ставят на основании ректального исследования. Около 1/3 полипов доступны, для обнаружения пальцем, хотя ощутить их при этом довольно трудно.
- При ректороманоскопии полипы выглядят как гладкие, имеющие ножку образования, содержащие серо-белые кисты.
- Ирригоскопия с двойным контрастированием позволяет выявить полипы, находящиеся выше досягаемости сигмоскопа.
- В настоящее время предпочитают использовать.
Лечение и профилактика
Больным с ювенильным полипозом показано оперативное лечение.
За больными должно быть организовано систематическое диспансерное наблюдение в течение многих лет после оперативного лечения. Не реже одного раза в год больным проводят гастроскопию, колоноскопию и рентгеноскопию кишечника.
Семейный полипоз
Семейный полипоз чаще развивается в период полового созревания (13-15 лет), в дальнейшем (до 21 года) частота его возникновения увеличивается. Заболевание характеризуется прогрессирующим течением с обязательным злокачественным перерождением.
Симптомы заболевания
- Неустойчивый стул (понос, примесь слизи, иногда крови в каловых массах);
- Постепенно развивается анемия, общая слабость, интоксикация, задержка развития.
Диагностика
Проктологический осмотр больного, колоноскопия и ирригоскопия.
Проктологический осмотр больного включает четыре последовательных
этапа:
осмотр перианальной области;
пальцевое исследование прямой кишки;
осмотр прямой кишки с помощью ректального зеркала;
ректороманоскопия ( осмотр прямой и дистальных отделов сигмовидной кишки с помощью ректороманоскопа, при необходимости с взятием биопсии).
Лечение
Единственным шансом спасти жизнь больному является своевременное проведение радикального хирургического вмешательства.
Семейный аденоматозный полипоз толстой кишки
Это предраковое заболевание, характеризуется наличием большого количества аденоматозных полипов (Приложение 1.2) в дистальном отделе толстой кишки. В литературе описаны случаи появления полипов
в раннем возрасте, но обычно они возникают к концу первого десятилетия и в подростковом возрасте.
Симптомы заболевания
- Отмечаются поносы, кровотечения;
- Может произойти малигнизация у детей старше 10 лет.
Диагностика
- Диагноз ставят на основании результатов рентгенологического исследования (при ирригоскопии с двойным контрастированием видны множественные дефекты накопления);
- А также сигмоскопии и колоноскопии, при которых видны полипы разных размеров.
Лечение и профилактика
Оперативное лечение.
После колэктомии пациентам необходимо проведение эндоскопии верхних отделов ЖКТ каждые 6 месяцев в течение 4 лет.
1.3 Рак пищевода. Симптомы. Диагностика и лечение
Пищевод соединяет глотку с желудком, через него проглатывается пища. Несмотря на то, что глотание длится всего секунды, достаточно того, что при воздействии некоторых продуктов и напитков, в том числе алкоголя и вдыхаемого табачного дыма, возникают такие повреждения слизистой оболочки, которые создают благоприятную почву для развития рака.
Этиология
- Загрязнённость окружающей среды (работа в шахтах, в металлургии, в парах асфальта, трубочистом и других вредных условиях);
- Избыточный вес;
- Эрозия пищевода (при питье едких жидкостей, прежде всего, страдает пищевод, где остаются очень большие шрамы и деформации).
Симптомы заболевания
- Нарушения проглатывания и продвижения пищи;
- Боль за грудиной или в верхней части живота( из-за затруднённого проглатывания пищи) ;
- Потеря веса.
Диагностика и лечение
- Эзофагоскопия.
- Часто случается, что пищевод настолько сужен из-за находящейся в нем опухоли, что эзофагоскоп не проходит. В таком случае для диагноза используется рентгенологическое исследование (Приложение 2.1), при котором пациент должен выпить особую смесь бария, и затем выясняют места препятствий и размер опухоли.
- Для определения распространения опухоли вне пищевода проводят дополнительные исследования: рентген легких, ультразвуковое исследование (сонография) брюшной полости, компьютерная томография грудной клетки и живота и др.
Рак пищевода лечится оперативно, осуществляют наложение гастростомы, а так же химиотерапия и лучевая терапия.
Профилактика
Необходимо систематически проходить профилактические осмотры и сообщать врачу о любых нарушениях здоровья, затруднениях глотания, прохождения грубой пищи.
Поскольку к внешним факторам, способствующим развитию рака пищевода, относят неправильное питание (злоупотребление очень горячей, маринованной пищей, дефицит витаминов А и С, а также курение и злоупотребление алкоголем), с профилактической целью целесообразно отказаться от вредных привычек и нормализовать питание.
1.4 Рак желудка. Симптомы. Диагностика и лечение
Рак желудка занимает первое место среди раковых опухолей других локализаций. В среднем им заболевают в возрасте старше 60...65 лет. Участились случаи заболевания людей моложе 40 лет. Чаще всего рак желудка встречается у мужчин среднего возраста, с годами вероятность заболевания увеличивается.
Этиология
Особыми факторами риска являются болезни, при которых рак желудка возникает чаще, чем в здоровом желудке. Это так называемые предраковые состояния желудка:
- Хронический атрофический гастрит воспалительное состояние, которое вызывает сухость слизистой оболочки желудка;
- Злокачественная анемия, которая вызвана нарушениями усвоения витамина В12 в желудке.
- Инфицирование микробом Helicobacter pylori, который вызывает особые воспаления и язвы слизистой оболочки желудка.
- Полипы в желудке и толстой кишке решающими являются их размер и характер строения.
Симптомы заболевания
Синдром малых признаков:
- Изменение вкуса;
- Ощущение тяжести в желудке при небольшом обилии съеденной пищи;
- Чувство переполнения желудка;
- Тошнота по утрам, отрыжка;
- Слабость;
- На поздних стадиях милена.
Диагностика и лечение
- Самый точный ответ о наличии рака желудка, как и рака пищевода, даст гастроскопия. При помощи гастроскопии можно наблюдать состояние желудка, обнаружить изменения, взять биопсию;
- Используется рентгенологическое исследование желудка со смесью бария (Приложение 2.2);
- Лечение рака желудка, как правило, оперативное резекция желудка с последующей химиотерапией и лучевой терапией.
1.5 Рак прямой кишки. Симптомы. Диагностика и лечение
Рак прямой кишки возникает у обоих полов примерно одинаково. Статистика показывает, что около 90% страдающих раком старше 50 лет.
Этиология
- Неправильный образ жизни (алкоголь, курение, гиподинамия, плохая гигиена);
- Чрезмерное употребление в пищу острого и жирного;
- Семейная предрасположенность;
- Полипы;
- Язвы;
- Проктиты.
Симптомы заболевания
- Нарушение акта дефекации (чередование запора и поноса);
- Кровотечения (кал, смешанный с кровью);
- Ложные позывы;
- Меняется форма кала («овечий стул» - малыми порциями, «ленточный стул»);
- Профузные кровотечения (при большой опухоли).
Диагностика и лечение
- Лучший результат при диагностике болезней прямой кишки дает ректоскопия, позволяющая взять биопсию.
- В некоторых случаях можно исследовать кишку при помощи ирригоскопии (Приложение 2.3).
Как и при любом раке, лучшие результаты дает операция наложение колостомы.
Для лечения рака прямой кишки до или после операции широко применяется лучевая терапия в сочетании с химиотерапией.
Профилактика
Профилактика рака прямой кишки в основном сводится к своевременному радикальному лечению полипоза кишечника, а также правильному лечению колита с тем, чтобы не допустить его переход в хроническую форму.
Важной профилактической мерой является нормализация питания, уменьшение в рационе содержания мясных продуктов, борьба с запорами.
ГЛАВА 2 СЕСТРИНСКАЯ ДЕЯТЕЛЬНОСТЬ
2.1 Подготовка пациента к инструментальным методам исследования
Эзофагоскопия
Подготовка пациента к исследованию:
- Объяснить пациенту цель предстоящего исследования и суть подготовки;
- Накануне: назначают седативные средства (препараты брома натрия бромид и калия бромид, а также препараты валерианы, пустырника), иногда транквилизаторы (мезапам, феназепам, сибазон), на ночь снотворное (нитразепам, флунитразепам);
- Ограничивают питье, исключают ужин;
- В день проведения процедуры прием пищи и жидкости исключается, процедура проводится натощак;
- За 30 мин до процедуры назначают вводить взрослым подкожно 1 мл 2% раствора промедола или 0,5 1,0 мл 0,1 % раствора атропина сульфата. У детей до 5 лет эзофагоскопию производят обычно без обезболивания;
- Съемные зубные протезы должны быть сняты;
- Больного следует предупредить, что в момент введения эзофагоскопа он будет испытывать неприятное ощущение удушья (нужно рекомендовать дышать спокойно, ровно, не напрягать мышц живота и затылка, не откидываться назад);
- Пациента проводить в эндоскопический кабинет с историей болезни.
Гастроскопия
Подготовка пациента к исследованию:
- Объяснить пациенту или его родителям (родственникам) цель предстоящего исследования и суть подготовки;
- Исследование выполняется строго натощак, как правило, в первой половине дня;
- Вечером накануне исследования легкий ужин. До исследования, по возможности, пациенту нужно воздержаться от курения;
- После исследования нельзя пить и принимать пищу в течение 30 минут;
- Возможно выполнение гастроскопии и во второй половине дня. В этом случае возможен легкий завтрак, но до исследования должно пройти не менее 8-9 часов;
- Пациента проводить в эндоскопический кабинет с историей болезни;
- После гастроскопии пациенту нельзя принимать пищу 2 часа.
Колоноскопия
Подготовка пациента к исследованию:
- Объяснить пациенту или родителям (родственникам) цель предстоящего исследования и суть подготовки;
- Подготовку начинают за 2-3 дня, при этом из рациона исключают продукты, способствующие газообразованию, диета № 4 (приложение 4);
- Накануне исследования после обеда дают касторовое масло (детям от 5 до 15 г в зависимости от возраста, взрослым по 30 г), вечером дважды с интервалом в 1-1,5 ч ставят очистительную клизму (до «чистой воды», Приложение 3);
- Для подростков вариантом подготовки к исследованию может быть назначение слабительного «Эндофалька» per os по схеме: 200 мл каждые 10 мин или около 1 л в час или препаратом «Фортранс» (в коробке 4 пакета) растворить на 4 литра воды. Обычно принимают до 3 л свежеприготовленного раствора вечером или за 4 часа до проведения колоноскопии;
- Утром за 1-2 ч до исследования делают очистительную клизму;
- Пациента проводить в эндоскопический кабинет с историей болезни.
R-скопия желудка
Подготовка пациента к исследованию:
- Объяснить пациенту или его родителям (родственникам) цель предстоящего исследования и суть подготовки;
- За 3 дня до исследования следует отказаться от трудноперевариваемых продуктов, диета № 4 (приложение 4); Плюс ко всему, за 2-3 дня нужно отказаться от употребления алкогольных напитков;
- Исследование проводится натощак, причем полностью отказаться от еды нужно за 6-8 часов до исследования;
- Накануне исследования нужно ограничить курение, употребление острых и жгучих продуктов;
- Ужин должен быть легким и не позднее 18 часов до начала исследования;
- Исследование желательно проводить в утренние часы (до 11.00);
- Перед исследованием нельзя принимать пищу и таблетированные лекарственные препараты (исключение - больные сахарным диабетом), а также пить (даже глотка воды); желательно не чистить зубы;
- Пациента проводить в R-кабинет с историей болезни.
Ирригоскопия
Подготовка пациента к исследованию:
- Объяснить пациенту (детям этот метод исследования не показан) цель предстоящего исследования и суть подготовки;
- За 3 дня до исследования исключить из питания пациента продукты вызывающие газообразовании, диета №4 (Приложение 4);
- Если пациент беспокоит метеоризм, назначают активированный уголь в течение 3-х дней 2-3 раза в день;
- За сутки до исследования перед обедом дают пациенту по 30 г касторового масла;
- Накануне вечером легкий ужин не позднее 17 часов ;
- В 21 и 22 часа вечером накануне сделать очистительные клизмы;
- Утром в день исследования в 6 и 7 часов очистительные клизмы;
- Разрешается легкий завтрак;
- За 40 60мин. до исследования ввести газоотводную трубку на 30мин.;
- Больного сопровождают в R кабинет с историей болезни; больной должен взять с собой простынь и полотенце.
Ректоскопия
Подготовка пациента к исследованию:
- Объяснить пациенту или его родителям (родственникам) цель предстоящего исследования и суть подготовки;
- За несколько дней до его проведения перейти на специальную диету отказаться от хлебобулочных изделий, овощей и фруктов, бобовых;
- Вечером так же накануне очистительная клизма, которую следует также повторить за 2 часа до исследования;
- Для страдающих запорами нужно продолжать прием обычных слабительных средств (магния сульфат, касторовое масло);
- Пациента проводить в эндоскопический кабинет с историей болезни.
2.2 сестринская деятельность в предоперационном и послеоперационном периоде
Психологическая подготовка больного
- Позитивное мышление мощный инструмент психологической подготовки к операции и восстановления после нее. Вера в благоприятный исход и умение видеть положительные моменты даже в сложных обстоятельствах помогут пережить тяжелый период жизни легче и быстрее.
- Психологическая подготовка больного к операции практически невозможна без помощи близких и родственников. Живое общение отличный способ подойти к важному дню в хорошем расположении духа, с верой в успешное излечение.
- По мере возможностей психологи рекомендуют не отказываться от привычного распорядка дня в преддверии операции. Резкое изменение режима создает дополнительный стресс и снижает защитные возможности организма в тот момент, когда они так важны.
- Нередко больные задают массу вопросов о своей болезни, о врачах, их технике, о том, какая операция их ожидает, опасна ли она и т. п.
Сестра должна быть очень осторожна в ответах, принять все меры для того, чтобы вселить в больного уверенность в благополучном исходе операции. Сестра должна внимательно, чутко относиться к жалобам больного, устранять все, что раздражает, волнует его. Для больного очень важно, чтобы назначения врача были точно выполнены, малейшие отклонения в этом отношении вызывают у него ненужные волнения, беспокойство, травмируют психику.
- Пожилые люди тяжелее переносят операцию, проявляют повышенную чувствительность к некоторым лекарственным препаратам, склонны к различным осложнениям в связи с возрастными изменениями и сопутствующими заболеваниями. Подавленность, замкнутость, обидчивость отражают ранимость психики этой категории больных. Внимание к жалобам, доброта и терпение, пунктуальность в выполнении назначений благоприятствуют успокоению, вере в хороший исход.
Предоперационная подготовка
Предоперационный период начинается с момента поступления пациента в стационар до момента операции.
Предоперационная подготовка детей
Проводят тщательное клиническое обследование. Большое внимание должно быть уделено щажению психики маленького ребенка.
Подготовка пациента к операции на пищеводе
Подготовка от 7 до 10 дней
- Вливание белковых препаратов, глюкозы;
- Диета высококалорийная;
- Больные должны 2 раза в день тщательно чистить зубы антисептическими пастами и полоскать рот раствором борной кислоты;
- С момента поступления больного в стационар следует ежедневно промывать пищевод одним из антисептических растворов (марганцевокислый калий, синтомицин);
- Промывание надо произвести и перед тем, как взять больного на операционный стол;
- С целью уменьшения дефицита витамина С, больным раком пищевода надо давать не менее 125150 мг аскорбиновой кислоты ежесуточно. Назначают также комплекс витаминов В и витамин К;
Подготовка пациента к операции на желудке
- Диета ( химически и механически щадящая);
- Переливание белковых препоратов, водно-солевых растворов (по показаниям);
- За 2 дня и накануне операции очистительная клизма;
- Последний приём пищи (ужин) в 18.00 ч.;
- Вечером накануне операции промывание желудка (20.00 21.00ч.);
- Гигиеническая ванна, смена нательного и постельного белья;
- Вечером накануне операции сообщаем пациенту, что утром запрещается вставать, есть, пить, курить и чистить зубы;
- Бинтование нижних конечностей с утра, в день операции;
- Утром в день операции отсасывание желудочного содержимого тонким зондом;
- Обработка операционного поля;
- Опорожнение мочевого пузыря;
- Премедикация за 20-30 мин. до операции.
Подготовка пациента к операции по поводу рака прямой кишки
Проводится в течение 6-7 дней.
- За 5 дней до операции назначается бесшлаковая диета;
- За 3 дня до операции внутрь 15-30% р-р сернокислой магнезии по 30,0 6 раз в день;
- В течение 3-х дней перед операцией ежедневно очистительные клизмы (1-2 литра тёплой воды с добавлением р-ра марганцевокислого калия);
- Вечером накануне операции гигиеническая ванна, смена нательного и постельного белья;
- Вечером накануне операции 2 очистительные клизмы с интервалом в 30 минут;
- Утром в день операции
- 2-е очистительные клизмы не позже, чем за 2 часа до операции, газоотводная трубка;
- опорожнение мочевого пузыря;
- подготовка операционного поля;
- за 20 минут до операции премедикация.
Предоперационная подготовка пожилых и людей старческого возраста
- Атония кишечника и сопутствующие ей запоры требуют соответствующей диеты, назначения слабительных;
- У пожилых мужчин часто встречается гипертрофия (аденома) предстательной железы с затруднением мочеиспускания, в связи с чем по показаниям выводят мочу катетером;
- Из-за слабой терморегуляции следует назначить теплый душ. После, больного тщательно вытирают и тепло одевают;
- На ночь по назначению врача дают снотворное.
Послеоперационный период
Послеоперационный период начинается сразу после окончания операции.
Послеоперационный период делится на три фазы: ранний - первые 3-5 суток после операции, поздний - 2-3 недели, отдаленный (или период реабилитации) - обычно от 3 недель до 2 - 3 месяцев.
Общие особенности ухода в послеоперационном периоде
- После наркоза пациента укладывают в постель на спину без подушки на 2 часа, голову поворачивают на бок. Затем, в постели ему придают положение Фаулера;
- На область послеоперационной раны помещают холод пузырь со льдом (на 2-3 ч.). На время снятия пузыря на область операции кладут мешочек с грузом;
- При наличии дренажа его удлиняют стерильной трубкой и стеклянной трубкой, опустив в градуированный сосуд, подвешанный к кровати;
- Измерение АД, пульса, ЧДД (в первые 3 ч. После операции через каждые 30 мин.), данные заносят в лист наблюдения;
- Наблюдение за цветом кожных покровов, мочеусписканием состоянием повязки (наклейки) в области послеоперационной раны (в случае чего, стоит тут же вызвать врача);
- Гигиена полости рта, если он не в состоянии осуществить самоуход: протирать шариком десны, язык, смоченным 3 % р-ром перекиси водорода, слабым р-ром перманганата калия; смазывать губы глицерином. Если состояние больного позволяет, нужно предложить ему полоскать рот;
- Для профилактики воспаления околоушной железы рекомендуется посасывать (не глотать) дольки лимона с целью стимулирования слюноотделения;
- Если пациент в течении 6 часов после операции не может самостоятельно помочиться, то на область мочевого пузыря, если нет противопоказаний, кладут грелку, теплое судно или тёплую воду на половые органы. При отсутствии эффекта по назначению врача прибегают к катетеризации (утром и вечером).
- При задержке стула очистительная клизма или слабительное (по назначению врача); при метеоризме газоотводную трубку;
- Дыхательная гимнастика;
- Уход за кожными покровами.
Наблюдение и уход за пациентом после операций на желудке
- В постели придают положение Фаулера;
- В первые сутки после операции не дают пить.
- При отсутствии рвоты на вторые сутки дают пить кипяченую воду, охлажденный чай по 1 стол. л. (23 стакана в день).
- При гладком послеоперационном течении на 23-й сутки дают сладкий чай, бульон, фруктовые соки;
- На 4-5-е назначают стол № 1-а, на 6-7-е и в последующие дни стол № 1.
- Сидеть разрешают с 3-5-х суток, ходить при гладко протекающем послеоперационном периоде с 6 -7-х суток.
Особенности ухода за пациентами после операции по поводу рака прямой кишки
- Первые сутки после оперции разрешается поворачиваться в постели;
- Вторые сутки разрешается вставать (под контролем врача);
- Со 2-го дня дают внутрь вазилиновое масло 30,0 утром и вечером;
- Ежедневное наблюдение за операционной раной;
- Первые 2-е суток -1-й хирургический стол с постепенным расширением диеты;
К 10 дню после операции общий стол (№15), дробно, малыми порциями;
- Наблюдение за состоянием кишечного свища: после каждого опорожнения кишечника на выступающую часть слизистой оболочки кишки наложить салфетку с вазелиновым маслом, закрыть сухой салфеткой со слоем ваты и укрепить бинтом.
Особенности ухода за пациентами после операции на пищеводе
- Больному следует придать положение Фоулера в постели;
- Голод в течение 3-4 дней;
- Парентеральное питание в течение 3-4 дней (белковые препараты, жировые эмульсии);
- Питье с 4-5-го дня маленькими порциями;
- Прием жидкой пищи через назогастральный зонд с 4-5-го дня небольшими порциями (40 мл). С 15-го дня - диета № 1.
Послеоперационный уход за детьми. Общие принципы
После того, как ребенок доставлен из операционной в палату, его укладывают в чистую постель (на спине без подушки).
Маленькие дети не понимая серьёзности состояния, бывает излишне активны, часто меняет положение в постели, поэтому приходиться прибегать к фиксации больного путем привязывания к кровати конечностей с помощью манжеток. У очень беспокойных детей дополнительно фиксируют туловище. Фиксация не должна быть тугой.
Профилактика аспирации рвотными массами во избежание аспирационной пневмонии и асфиксии. Как только сестра замечает позывы к рвоте, она немедленно поворачивает голову ребенка набок, а после рвоты тщательно протирает полость рта ребенка чистой пеленкой.
Не допускается лишний прием воды, которая может вызвать повторную рвоту.
Если ребенок беспокоен и жалуется на боль в области послеоперационной раны или другом месте, сестра немедленно сообщает об этом врачу. Обычно в таких случаях назначают успокаивающие болеутоляющие препараты.
В процессе ухода за больным сестра обеспечивает чистоту повязки в области швов.
ЗАКЛЮЧЕНИЕ
Анализ статистических данных за последние годы свидетельствует о нарастании заболеваемости населения Земного шара различными формами рака. Онкологические заболевания возникают у пожилых и молодых, простых людей и президентов. Рак молодеет и среди пациентов онкологических клиник всё больше подростков и детей.
Онкологические заболевания у детей имеют свои особенности. Известно, что раковые заболевания у детей, в отличие от взрослых, встречаются чрезвычайно редко. Общая заболеваемость злокачественными опухолями у детей относительно невелика и составляет примерно 1-2 случая на 10000 детей, в то время как у взрослых этот показатель в десятки раз выше. Если у взрослых 90% опухолей связано с воздействием внешних факторов, то для детей несколько большее значение имеют генетические факторы.
Что человек делает для того, чтобы ослабить свое здоровье и что способствует развитию раковых клеток в его организме? Как было раннее установлено, в процессе деятельности над курсовой, причинами могут являться пагубные привычки человека, то есть: 1) Употребление алкоголя и курение: может привести к развитию рака печени и пищевода. Но, помимо этого существуют и другие причины возникновения опухолей.
Найти лекарство от рака сложнейшая проблема современной медицины. Сегодня можно с уверенностью сказать: на первых двух стадиях «лекарством от рака» стало раннее выявление злокачественных опухолей. Но на более поздних стадиях лечением данного заболевания являются химиотерапия и лучевая терапия.
В процессе изучения темы, мне удалось ознакомиться с заболеванием; познакомиться с причинами возникновения злокачественной опухоли; выяснить влияние внешней среды на развитие рака; ознакомиться с гипотезами, объясняющими причины возникновения раковых заболеваний; Поставленные в начале работы цели мне удалось полностью реализовать.
Эта работа для меня очень значима, во-первых, для расширения кругозора своих знаний. Выполняя работу, я узнала много нового по данному вопросу, например то, какие существуют гипотезы причин возникновения раковых опухолей, что собой представляет опухоль, и какие факторы внешней среды могут повлиять на развитие раковых клеток в организме.
Материал об онкологических заболеваниях пригодится каждому человеку, и я не исключение. Ведь ни у кого нет гарантии, не встретиться с такой проблемой, как опухоль.
Полученные знания я могу применить в практической деятельности.
СПИСОК ЛИТЕРАТУРЫ
ПРИЛОЖЕНИЯ
ПРИЛОЖЕНИЕ 1
Приложение 1.1 (полипы кишечника)

Приложение 1.2 (рак желудка, рентген)

Приложение 1.3 (рак пищевода, рентген)

ПРИЛОЖЕНИЕ 2
Приложение 2.1 (Памятка пациенту по уходу за колостомой)
- Принимайте ежедневно теплый душ (35-36°С), мойте стому рукой или мягкой губкой, намыленной детским мылом.
- После душа промокните стому марлей и осушите. Если не пользуетесь калоприемниками на клеящей основе смажьте вазелиновым маслом.
- От горячей воды или от пересыхания стома может кровоточить. Чтобы остановить кровотечение, промокните стому салфеткой и смажьте йодом, разведенным спиртом (1:3). При раздражении чаще мойте стому, полностью удаляя кишечное содержимое, смазывайте кожу вокруг стомы пастой Лассара, цинковой мазью.
- Конструкция мешочка-калоприемника должна соответствовать расположению и форме вашей стомы.
- Опыт показывает, калоприемник не следует постоянно носить первый месяц после операции, чтобы не мешать формированию стомы.
ПРИЛОЖЕНИЕ 3
Приложение 3.1 (Памятка пациенту по уходу за гастростомой)
- При наличии вокруг гастростомы волосяного покрова необходимо гладко выбрить кожу;
- После каждого кормления промывать кожу теплой кипяченой водой или раствором фурацилина;
- Можно воспользоваться слабым бледно-розовым раствором марганцовокислого калия (несколько кристалликов на стакан теплой кипяченой воды);
- На кожу вокруг гастростомы после промывания следует нанести пасту (цинковую, Лассара) и присыпать тальком (можно также использовать
- порошок танина или каолина);
- Использование мазей, паст, присыпок способствует образованию корки вокруг гастростомы и защищает кожу от раздражения желудочным соком;
- Когда мазь или паста впитается, убрать ее остатки с
- помощью салфетки.
Резиновую трубку, используемую для кормления через гастростому, после кормления промыть небольшим количеством теплой кипяченой воды.
PAGE \* MERGEFORMAT 1
Сестринская деятельность с онкологическими больными