Мочекаменная болезнь кошек
Мочекаменная болезнь- образование мочевых камней в почечной ткани, лоханке, мочевом пузыре или их задержание в просвете мочеточников, уретры. Образование уролитов не является результатом подлежащих расстройств, которые способствуют преципитации кристаллов в моче.
СИМПТОМЫ
Клиническая картина болезни зависит от нахождения мочевых камней, их величины, состояния поверхности и подвижности.
Основными признаками наличия мочевых камней являются боль и гематурия. Боль может быть постоянная и временами проявляется резкими приступами колик. Мочеиспускание учащенное и болезненное. При образовании камня в почечной лоханке появляются симптомы, характерные для пиелита, а в последующем пиелонефрита.
В этот период болезни может быть повышение температуры тела на 0,5-1,00С. В моче большое количество неорганических осадков, белок, лейкоциты, эпителий почечной лоханки, микроорганизмы. Появляется частое болезненное мочеиспускание, прерываемое ложными позывами.
При закупорке мочевыводящих путей болезнь проявляется классической триадой симптомов: мочевыми коликами, нарушение акта мочеиспускания и изменение состава мочи. Могут возникнуть разрыв мочевого пузыря, перитонит и гибель на 2-3 сутки после обтурации.
РАСПРОСТРАНЕННОСТЬ
Собаки и кошки часто обследуются по причине проявления признаков заболеваний нижнего отдела мочевыводящих путей, включая гематурию, дизурию, поллакиурию, недержание и ненадлежащее мочеиспускание. Обзор данных, полученных от Veterinary Medical Data Base между 1980 и 1995, выявил, что распространенность заболеваний нижнего отдела мочевыводящих путей у собак составляла 3,0%, у кошек в период с 1980 и 1990 распространенность заболеваний нижнего отдела мочевыводящих путей составляла 7,3.% Эти заболевания больше распространены у собак старше 4 лет, а у кошек с 1 года до 10 лет.
ЭТИОЛОГИЯ
Еще не до конца выяснена. Полагают, что образование мочевых камней в большинстве случаев обуславливается нарушением регуляции солевого обмена со стороны центральной нервной системы вследствие неправильного, однообразного кормления, гипо- и гиперавитаминозов.
Один из ведущих факторов в образовании мочевых камней тАУ нарушение соотношения между кислотными и основными эквивалентами корма. В образовании камней у собак и кошек большую роль играют микроорганизмы (стафилококки, стрептококки, протеус)
Камнеобразование часто обусловлено применением различных лекарственных веществ.
Кроме того, существенное значение в формировании камней имеет чрезмерное использование кормов, богатых фосфатами. К факторам камнеобразования относятся длительные периодические застои мочи с последующим ее ощелачиванием, выпадением солей и образованием конкрементов.
Фактором, осложняющим течение болезни, может быть относительно малый диаметр мочеиспускательного канала у котов, особенно кастрированных в раннем возрасте.
Закупорка, повреждение слизистой оболочки мочевыми камнями сопровождается застоем мочи, проникновением в мочевые пути по восходящей линии вторичной инфекции, в результате развивается катарально-гнойное воспаление мочевого пузыря (уроцистит), почечной лоханки и почек (пиелонефрит). Животные гибнут от уремии (закупорка мочеиспускательного канала).
В течение последних 15-20 лет частота струвитного уролитиаза снизилась, а частота оксалатного уролитиаза увеличилась.
ОКСАЛУРИЯ
ЭТИОПАТОГЕНЕЗ
Образование уролитов оксалата кальция происходит когда моча перенасыщена кальцием и оксалатом. Дополнительными факторами риска для образования уролитов являются порода, пол, возраст и диета. Как только формирование уролита единожды началось, очаг должен оставаться в мочевом тракте, а условия должны благоприятствовать дальнейшей преципитации минералов и росту уролитов. Следовательно, для формироания оксалата кальция моча должна быть пересыщена кальцием и щавелевой кислотой (ацидурия). Нарушения в балансе между концентрацией в моче калькулогенных субстанций (кальция и щавелевой кислоты) и ингибиторов кристаллизации (включая цитрат, фосфор, магний, натрий и/или калий) связаны с инициацией и ростом уролитов оксалата кальция. В дополнение к этим нарушениям активность ионов, протеины с большим молекулярным весом, встречающиеся в моче, такие как нефрокальцин, уропонтин и мукопротеины, имеют влияние на формирование оксалатов кальция. Роль этих макромолекулярных и ионных ингибиторов формирования оксалата кальция не исследовалось у кошек.
ЭТИОЛОГИЧЕСКИЕ ФАКТОРЫ РИСКА
ГИПЕРКАЛЬЦИУРИЯ
Гиперкальциурия предполагается как фактор риска, а не обязательно причина образования уролитов оксалата кальция у кошек. Она может быть результатом избыточной абсорбции кальция в кишечнике, нарушенной почечной реабсорбции кальция, и/или избыточной мобилизации кальция из кишечника (резорбтивная). Потребление кошками диеты, обогащенной закислителем мочи хлоридом аммония, связано с увеличением экскреции кальция из-за метаболического ацидоза. Метаболический ацидоз способствует костной реорганизации (высвобождение кальция как буфера из кости) и увеличению концентрации ионизированного кальция в крови, что приводит к повышенной экскреции кальция с мочой и пониженной канальцевой реабсорбции кальция. Хотя избыточное потребление кальция с пищей может привести к гиперкальциурии, исследования на людях опровергли этот факт.
ГИПЕРОКСАЛУРИЯ
Повышенное выделение щавелевой кислоты с мочой может способствовать формированию оксалата кальция. Гипероксалурия была обнаружена у котят, потребляющих диеты с дефицитом витамина В6, и у группы кошек со сниженным количеством печеночной D-глицерат дегидрогеназы.
НАРУШЕНИЕ ИНГИБИТОРОВ И ПРОМОУТЕРОВ
Моча является сложным раствором, содержащим множество субстанций, которые могут ингибировать или способствовать формированию и росту кристаллов. Некоторые ингибиторы, такие как цитрат, магний и пирофосфат, образуют растворимые соли с кальцием или щавелевой кислотой, таким образом сокращая доступность кальция или щавелевой кислоты для преципитации. Другие ингибиторы являются макромолекулярными белками, такие как Tamm-Horsfall гликопротеин и нефрокальцин, которые влияют на способность кальция и щавелевой кислоты комбинироваться, тем самым, сводя к минимуму образование и рост кристаллов. Другие субстанции мочи могут способствовать формированию оксалата кальция. Роль любого из этих ингибиторов и промоутеров не была исследована тщательно.
Показатели риска уролитиаза
Что такое относительное супернасыщение (ОСН) ?
Относительное супернасыщение (ОСН), также называемое произведением активности продукта, математический термин, используемый для описания концентрации минералов в моче и количества энергии доступных для образования уролитов. Другими факторами, влияющими на уровень относительного супернасыщения, являются: рH мочи, температура и ионная сила. Один из наиболее важных факторов, определяющих концентрацию минералов, - это объем мочи. Хорошо увлажненная диета способствует образованию более разведенной мочи, что приводит к уровню относительного супернасыщения меньше 1, не взирая на содержание минералов. Действительно, один из наиболее доступных способов снижения риска уролитиаза у кошек просто увеличенное потребление воды. Исследования показали, что кошки, потребляющие консервированную пищу, производят больший объем мочи (следовательно, более разведенную мочу), чем животные, потребляющие сухой корм. Многие компании, производящие лечебные диеты, заявляют, что уровень ОСН меньше 1 свидетельствует о том, что в моче не будут образовываться кристаллы или камни. Действительно, уровень ОСН меньше 1 показывает, что моча ненасыщенная, и вероятность образования камней маленькая. Консервированные диеты многих фирм содержат много влаги, благодаря чему животное потребляет повышенное количество воды, так как кошки должны потреблять большие количества воды для обеспечения протекания энергетических процессов. Однако, получается, что покупатель платит преимущественно за воду.
Отражает ли ОСН предрасположенность к образованию уролитов? Один показатель ОСН не может адекватно описать тенденцию корма к образованию или защите от образования кристаллов в моче. ОСН не учитывает вклад ингибиторов и веществ, способствующих образованию камней (промотеров), в этот процесс в моче животных. По этой причине многие ученные используют показатель, известный как отношение активности продукта (ОАП), который оценивает вклад диеты в склонность к образованию камней в моче. Hill`s перефразировал этот показатель на индекс риска камнеобразования (ИРК) и использует его в своих исследованиях и производстве диет.

Почему ОАП лучший способ для определения степени риска?
ОАП сделал шаг дальше за показатель ОСН, так как учел роль ингибиторов и промотеров на кристализацию в моче. ОАП определяет отношение ОСН до и после инкубации мочи с осаждающими веществами. Используя это отношение, можно достоверно определить в каком случае кристаллы склонны к дальнейшей кристализации, а в каком к растворению в каждом конкретном образце мочи. И это действительно правдивое определение риска!
Как сравнимы между собой показатели ОСН и ОАП?
Уровни ОСН и ОАП не всегда едины в показаниях риска образования кристаллов в конкретной моче. Например, люди очень часто имеют высокий показатель ОСН для кальция оксалата, но далеко не у всех образуются эти камни. В тоже время, моча с низким уровнем ОСН (<1) вследствии разведения может иметь актуально высокий показатель ОАП, свидетельствующий о риске образования кристаллов в моче. Ученные исследовали степень корреляции между ОСН и ОАП и пришли к выводу, что она может варьировать от R2=0,17 (плохая корреляция) до R2 =0,90 (отличная корреляция).
Что можно заключить об ОСН?
Заключение многих кампаний основано исключительно на показателе ОСН, исходя из которого многие консервированные диеты будут контролировать образование струвитов без предрасположения кошек к оксалатному уролитиазу. Они учитывают только концентрацию камнеобразующих минералов, не оценивая роли ингибиторов и промотеров этого процесса, которые являются не менее важными факторами. Хотя ненасыщенная моча очень желательна, учет только одного показателя ОСН не дает полной картины риска камнеобразования.
Факторы, влияющие на образование кристаллов
Изменения, происходящие in vivo и in vitro.
Хоть и не существует абсолютной связи между кристаллурией и уролитиазом, выявление кристаллов может быть полезным с той точки зрения, что образец мочи перенасыщен кристаллогенными субстанциями. Однако перенасыщение может происходить в результате процессов, происходящих in vivo или in vitro.
Факторы, влияющие на кристаллурию in vivo:
1. Концентрация кристаллогенных субстанций в моче (что зависит от уровня их выделения и объема воды, в которую они экскретируются).
2. pH мочи.
3. Растворимость кристаллогенных субстанций в моче.
Выведение диагностических препаратов (радиоконтрастные вещества) и медикаментов (сульфаниламиды)
Факторы, влияющие на кристаллурию in vitro:
1. Температура
2. Испарение
3. pH
4. Техника обработки образца (центрифугирование)
Очевидно, что изменения, происходящие in vitro, после сбора образца могут усилить образование или растворение кристаллов. Но для обнаружения некоторых типов кристаллов необходимы определенные изменения in vitro для их выявления (закисление для преципитации цистина). Когда знание типа кристалла in vivo важно, то необходимо провести серийное исследование свежих образцов. Должны быть оценены число, размер, структура кристаллов и тенденция кристаллов к агрегации.
ДИАГНОСТИКА
АТЛАС КРИСТАЛЛОВ
БИЛЛИРУБИНОВАЯ КРИСТАЛЛУРИЯ
Биллирубин может кристаллизоваться в моче, формируя желто-красные или красно-коричневые узелки или гранулы (рис. 1). Кристаллы биллирубина могут быть обнаружены в высококонцентрированной моче здоровых собак. Если они обнаруживаются в большом количестве, в нескольких образцах мочи подряд, то это говорит о нарушении метаболизма биллирубина.
Рис. 1. Микрофотография кристаллов биллирубина в мочевом осадке годовалого кобеля
КАЛЬЦИЙ КАРБОНАТНАЯ КРИСТАЛЛУРИЯ
Кальция карбонат может кристаллизоваться в моче лошадей, кроликов, коз, образуя большие желто-коричневые или бесцветные сфероиды с радиальной исчерченностью, или маленькие кристаллы круглой, овальной или гантелеобразной формы (рис. 2 и 3). У собак и кошек эти кристаллы обычно не обнаруживаются. Если в моче обнаруживается гантелеобразный кристалл, то это скорее кальция оксалат моногидрат.
Рис. 2. Микрофотография кристаллов кальция карбоната в мочевом осадке 7-летней кобылы (не окрашено, увеличение Х160
Рис. 3. Сканированная электронная микрофотография некоторых маленьких кристаллов, описанных в рис.2 (увеличение Х 1,800).
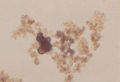
КАЛЬЦИЙ ОКСАЛАТНАЯ КРИСТАЛЛУРИЯ
Особенности
Кристаллы кальция оксалата дегидрата обычно бесцветные, характерной октоэдрической или овальной формы (рис. 4-11). Под световым микроскопом выглядят как большие или маленькие квадраты, углы которых соединены диагональными линиями. Кристаллы кальция оксалата обнаруживаются в кислой, нейтральной или щелочной моче.Кристаллы кальция оксалата моногидрата различаются по размерам и могут быть в форме веретена, овальными (как конопляное семечко) или в форме гантели (рис.12). Кристаллы кальция оксалата моногидрата были обнаружены у собак с закисленной мочой, особенно у животных с отравлениями этиленгликолем (рис. 13-17). Они растворимы в соляной кислоте, но не растворимы в уксусной кислоте. Кристаллы могут встречаться в комбинации с кальций оксалат дегидратами и другими типами кристаллов.
Интерпретация
Кристаллы кальция оксалата дегидрата могут встречаться, по-видимому, у здоровых собак и кошек, а также у собак и кошек с уролитами, состоящими преимущественно из кальция оксалата. Хотя они могут быть обнаружены у собак с отравлениями этиленгликолем, подобные кристаллы менее типичны, чем кристаллы кальция оксалата моногидрата (отравление этиленгликолем может также протекать без кристаллурии).
Кристаллы кальция оксалата моногидрата могут встречаться одни или в комбинации с кальций оксалат дегидратом или другими типами кристаллов. Большие количества кристаллов кальций оксалат моногидрата (или дегидрата) в свежем образце мочи свидетельствуют о гиперкальциевых или гипероксалатных расстройствах (как например, отравление этиленгликолем), особенно если они встречаются в виде агрегаций или растут до больших размеров.
Рис. 4. Микрофотография кристаллов кальция оксалата дегидрата, обнаруженных в мочевом осадке 5-летней суки Бишон-Фриза (не окрашено, увеличение Х 250).
Рис. 5. Сканированная электронная микрофотография кристаллов кальция оксалата дегидрата в моче собаки, описанной в рис. 4 (увеличение Х 7,040).
Рис. 6. Сканированная электронная микрофотография трех кристаллов кальция оксалата дегидрата, внедрившихся в поверхность большого струвитного кристалла. Этот кристалл был обнаружен в мочевом осадке 4-летней Ши-тцу с диагнозом струвитный уролитиаз (увеличение Х 5,700).
Рис. 7. Микрофотография агрегированных кристаллов кальций оксалат дегидрата в мочевом осадке 13-летней суки Йоркширского терьера. У собаки были обнаружены камни кальций оксалата в мочевом пузыре (не окрашено, увеличение Х 100).
Рис. 8. Сканированная электронная микрофотография кристалла, описанного в рис. 7 (увеличение Х 5,400).
Рис. 9. Микрофотография большого кристалла кальций оксалат дегидрата в моче 3-месячной суки метиса (не окрашено, увеличение Х 250).
Рис. 10. Сканированная электронная микрофотография кристалла кальция оксалата дегидрата, описанного в рис. 9 (не окрашено, увеличение Х 11,880).
Рис. 11. Микрофотография кристалла кальция оксалата дегидрата, обнаруженного в мочевом осадке 10-летнего пуделя с камнями кальция оксалата, обнаруженными в мочевом пузыре. Хотя эти кристаллы из-за маленького размера похожи на аморфные кристаллы, тщательное исследование обнаружило характерную форму конверта (не окрашено, увеличение Х 250).
Рис. 12. Микрофотография кристаллов кальция оксалата моногидрата в мочевом осадке 8-летней суки Норвежского Элькхунда с отравлением этиленгликолем (не окрашенная поляризованная световая микроскопия, увеличение Х 160).
Рис. 13. Микрофотография кристаллов кальция оксалата моногидрата в мочевом осадке 3-летней суки ротвейлера с острым отравлением этиленгликолем. Эти кристаллы похожи на кристаллы гиппуровой кислоты (не окрашено, увеличение Х 250).
Рис. 14. Сканированная электронная микрофотография кристаллов кальция оксалата моногидрата, описанного в рис. 13 ( увеличение Х 10,800).
Рис. 15. Микрофотография кристалла кальция оксалата дегидрата (в центре) и кальция оксалата моногидрата в моче 3 летней домашней кошки (не окрашено, увеличение Х 250).
Рис. 16. Сканированная электронная микрофотография кристаллов, описанных в рис. 15 ( увеличение Х 5,760).
Рис. 17. Микрофотография агрегированных кристаллов кальция оксалата моногидрата в моче 7-летнего кастрированного кобеля миниатюрного шнауцера (не окрашено, увеличение Х 250).
ХОЛЕСТЕРОЛОВАЯ КРИСТАЛЛУРИЯ
Особенности
Холестероловые кристаллы обычно большие, плоские, прямоугольные пластины с характерными зарубками на углах (рис. 24).
При световой микроскопии они бесцветные и прозрачные. При поляризованном свете наблюдаются различные блестящие цвета.
Интерпретация
У людей холестероловые кристаллы обычно связаны с массивным разрушением ткани и с нефротическим синдром и хилурией (наличие лимфы в моче). В ветеринарии еще не накоплено достаточно данных для формирования определенного опыта, однако холестеролловые кристаллы обнаруживают у, по-видимому, нормальных собак.
Рис. 24. Микрофотография холестероловых кристаллов в мочевом осадке 5-летнего кобеля миниатюрного шнауцера (не окрашено, увеличение Х 100).
ЦИСТИНОВАЯ КРИСТАЛЛУРИЯ
Особенности
Цистиновые кристаллы бесцветные, характерной гексагональной формы с равными или неравными сторонами (рис. 25-26). Они могут появляться одиночно, но чаще в виде агрегатов. Их определение требует уменьшения световой интенсивности, так как они тонкие. Цистиновые кристаллы чаще всего формируются в концентрированной кислой моче. Формирование явной щелочной мочи, как следствие инфекции или контаминации уреазообразующими микробами, может способствовать образованию цистиновых кристаллов. Добавление ледяной уксусной кислоты после замораживания и центрифугирования может улучшить определение типичных кристаллов в образцах щелочной мочи. Цистиновые кристаллы нерастворимы в уксусной кислоте, спирте, ацетоне, эфире и кипящей воде. Они растворимы в аммиаке и соляной кислоте.
Интерпретация
Цистиновая кристаллурия ненормальный феномен. Цистиновые уролиты могут развиваться у собак и кошек с метаболическим расстройством цистинурии. Однако, не у всех пациентов с цистенурией развиваются цистиновые уролиты (см. обсуждение магний аммоний фосфатной и мочевокислой кристаллурии для детальной дифференциации цистиновых кристаллов от струвитов и кристаллов мочевой кислоты).
Рис. 25. Микрофотография цистиновых кристаллов в мочевом осадке 2- летнего кобеля английского бульдога с цистиновыми камнями в мочевом пузыре (не окрашено, увеличение Х 250).
Рис. 26. Сканированная электронная микрофотография кристаллов, описанных в рис. 25 (увеличение Х 1,980).
КРИСТАЛЛУРИЯ, СВЯЗАННАЯ С ЛЕКАРСТВЕННЫМИ ПРЕПАРАТАМИ
Различные лекарства, выделяющиеся с мочой, могут формировать кристаллы. Чаще всего кристаллурия, связанная с применением лекарственных препаратов, возникает после использования сульфаниламидов. Сульфаниламиды могут преципитировать в моче в виде характерных снопиков, светлых или коричневатых иголочек, обычно с эксентричной связкой (рис. 27-29). Они могут также появляться как аморфные кристаллы или сфероиды с радиальной исчерченностью (рис. 30).
Положительный результат теста на лигнин подтверждает диагноз сульфаниламидной кристаллурии. Составные уролиты, содержащие различные количества сульфаниламидов были обнаружены у кошек и собак. Другие виды лекарственной кристаллурии были задокументированны только у людей.
Радиоактивные контрастные вещества такие как Hypaqueв (Squibb) могут преципитировать в кислой моче как плеоморфные иголочки одиночно или связками. Ампицилин может преципитировать в кислой моче как тонкие бесцветные палочки. Пиримидон может преципитировать как гексогональные пластинки, похожие на кальций оксалат моногидрат. Ципрофлоксацин может преципитировать в щелочной моче как сноп с эксцентричной связкой.
Рис. 27. Микрофотография сульфодиазинового кристалла в мочевом осадке 2-летнего кастрированного самца, которому применяли триметоприм-сульфадиазин орально (не окрашено, увеличение Х 250).
Рис. 28. Микрофотография сульфодиазинового кристалла в форме веера в моче кота, описанного в рис. 27 (не окрашено, увеличение Х 250).
Рис. 29. Сканированная электронная микрофотография поверхности кальция оксалата, удаленного из мочевого пузыря 10-летнего кастрированного самца мальтеза. Обратите внимание на сульфадиазиновый кристалл веерообразной формы (увеличение Х 2,880).
Рис. 30. Сканированная электронная микрофотография сульфодиазинового кристалла в моче кота, описанного в рис. 27 (увеличение Х 1,248).
КРИСТАЛЛУРИЯ ГИППУРОВОЙ КИСЛОТЫ
Кристаллы гиппуровой кислоты бесцветные, удлиненные образования различной величины. Обычно они имеют шесть сторон, которые соединены закругленными углами. Эти кристаллы снова привлекли внимание ветеринарных специалистов по причине их возможной связи с этиленгликолевым отравлением собак и кошек. Однако в последних исследованиях кошек и собак с этиленгликолевым отравлением кристаллы мочи, напоминающие под световым микроскопом кристаллы гиппуровой кислоты, при рентгенографической дефракции оказались кальций оксалат моногидратом. Истинные кристаллы гиппуровой кислоты, по-видимому, редко встречаются у собак и, следовательно, мало известна их значимость.
КАЛЬЦИЙ ФОiАТНАЯ КРИСТАЛЛУРИЯ
Было установлено, что когда кальций фосфат осаждается из водного сильно насыщенного раствора при pH более 7, сначала появляются аморфные фосфаты. Аморфный осадок может медленно трансформироваться в стабильный кристаллический преципитат вследствие процесса растворения, ренуклеации и роста кристаллов. Скорость трансформации зависит от pH. Стабильность аморфных фосфатов улучшается при высоком pH.
Интерпретация
Внимательно следует отнестись к интерпретации аморфных кристаллов при световой микроскопии, так как они могут быть сформированы из разных видов кристаллов, включая фосфат кальция, аммония урат и ксантин. По нашему опыту, большинство кристаллов, состоящих из кальция фосфата, обнаруживалось у, по-видимому, нормальных собак с персистентно щелочной мочой, у собак с кальций фосфатным уролитиазом и собак с уролитами, состоящими из смеси кальция фосфата и кальция оксалата.
Небольшое количество кристаллов кальция фосфата может встречаться вместе со струвитными кристаллами, вызванными инфекцией.
Рис. 19. Микрофотография аморфных кристаллов кальция фосфата в моче 3-летнего самца Лхасского Апсо. У собаки были обнаружены камни оксалата кальция в мочевом пузыре (не окрашено, увеличение Х 250).
Рис. 20. Сканированная электронная микрофотография кристалла кальция оксалата дегидрата и нескольких аморфных кристаллов кальция фосфата в моче собаки, описанной в рис. 19 (увеличение Х 7,920).
Рис. 21. Сканированная электронная микрофотография кристалла кальция фосфата в мочевом осадке 5-летнего кастрированного кобеля Ши-тцу (увеличение Х 5,760).
Рис. 22. Микрофотография кристаллов кальция фосфат дегидрата в мочевом осадке 3-летнего кобеля миниатюрного шнауцера, у которого обнаружены камни оксалата кальция в мочевом пузыре (не окрашено, увеличение Х 40).
Рис. 23. Микрофотография больших кристаллов кальций фосфат дегидрата и характерных кристаллов кальций оксалат дегидрата в моче лошади (не окрашен, увеличение Х 25).
ЛЕЙЦИНОВАЯ КРИСТАЛЛУРИЯ
Лейциновые кристаллы обычно появляются как большие желтые или коричневые сферы с радиальной концентрической слоистостью (рис 31). Однако такие сферы могут быть не чисто лейциновыми, так как сообщалось, что кристаллы чистого лейцина напоминают гексагональные пластины.
У людей лейциновые кристаллы свидетельствуют о тяжелом заболевании печени. Значение лейциновых кристаллов для кошек и собак хорошо не изучено.
Рис. 31. Микрофотография кристалла, напоминающего лейциновый из мочевого осадка 11-летнего самца метиса (не окрашено, увеличение Х 160).
МАГНИЙ АММОНИЙ ФОiАТНАЯ КРИСТАЛЛУРИЯ
Особенности
Кристаллы магний аммоний фосфата (струвиты) обычно бесцветные имеют три неравные оси, пересекающиеся под прямым углом, призмы, напоминающие гроб. Они имеют три или шесть сторон и скошенные концы (рис. 32-39). Шести-восьми гранные струвитные кристаллы у кошек иногда ошибочно воспринимаются за цистиновые кристаллы (рис 40-41). Но они всегда встречаются вместе с другими формами и, в отличие, от цистиновых растворяются при закислении уксусной кислотой. Иногда струвитне кристаллы могут агрегировать в структуру, напоминающую по внешнему виду папоротник.
Интерпретация
Струвитные кристаллы встречаются у собак в основном по причине инфицирования мочевыделительных путей уреазообразующими бактериями. Уреаза способствует гидролизу мочи с образованием иона аммония. У кошек струвитные кристаллы чаще обнаруживаются в моче без бактериальной уреазы. В связи с этим, аммонийный компонент кристалла генерируется предположительно почечными канальцами. По нашим исследованиям, струвитные кристаллы могут быть обнаружены у собак и кошек:
- клинически здоровых
- имеющих струвитные уролиты, вызванные инфекцией
- имеющих стерильные струвитные уролиты
- имеющих не струвитные уролиты
- имеющих уролиты, смешанной композиции (ядро из оксалата кальция и оболочка из струвита)
- имеющие заболевания мочеполового тракта без уролитиаза.
Рис. 32. Микрофотография струвитных кристаллов в мочевом осадке 11-летнего самца английского коккер спаниеля (не окрашено, увеличение Х 25).
Рис. 33. Сканированная электронная микрофотография струвитного кристалла в мочевом осадке годовалого миниатюрного шнауцера (увеличение Х 4,400).
Рис. 34. Микрофотография струвитных кристаллов в мочевом осадке 13-недельного самца спрингер спаниеля с инфекцией мочевыделительного тракта Proteus mirabilis (не окрашено, увеличение Х 250).
Рис. 35. Сканированная электронная микрофотография струвитного кристалла, описанного в рис.34 (увеличение Х 1,980).
Рис. 36. Микрофотография агрегированных струвитных кристаллов в мочевом осадке собаки (фазная микроскопия; увеличение Х 40).
Рис. 37. Сканированная электронная микрофотография струвитных кристаллов в мочевом осадке 4-летней кошки (увеличение Х 4,400).
Рис. 38. Микрофотография струвитных кристаллов в мочевом осадке 5-летней коровы (не окрашено, увеличение Х 25).
Рис. 39. Сканированная электронная микрофотография струвитных кристаллов, описанных в рис.38 (увеличение Х 1,800).
Рис. 40. Микрофотография струвитных кристаллов в мочевом осадке 2-летнего кастрированного кота (не окрашено, увеличение Х 40).
Рис. 41. Сканированная электронная микрофотография струвитных кристаллов, описанных в рис.40 (увеличение Х 1,800).
ТИРОЗИНОВАЯ КРИСТАЛЛУРИЯ
Тирозиновые кристаллы обнаруживаются как рефрактерные, бесцветные или желтые игольчатые кристаллы, расположенные группами (рис. 42). У людей они встречаются при тяжелых заболеваниях печени.
Рис. 42. Микрофотография игольчатых кристаллов в мочевом осадке собаки. Кристаллы в форме иголок могут состоять из тирозина, сульфата кальция, урата натрия, ампицилина или радиоконтрастных агентов (не окрашено, увеличение Х 160).
УРАТЫ АММОНИЯ И АМОРФНЫЕ УРАТНЫЕ КРИСТАЛЛЫ
Особенности
Кристаллы урата аммония (также наываемые биурата аммония) обычно обнаруживаются в слегка закисленной, нейтральной или щелочной моче. Они, как правило, желтого или желто-коричневого цвета, сферической формы с длинными иррегулярными выступами (так называемое колючее яблоко) (рис. 43-51).
Соли уратов натрия, калия, магния могут преципитировать в виде аморфных образований в кислой моче (так называемые аморфные ураты). Они могут напоминать аморфные фосфаты (рис. 49), но способны растворяться в щелочной среде. При росте аморфных кристаллов (рис. 47-51) они приобретают желтую или желто-коричневую окраску. Ураты натрия могут преципитировать как бесцветные или желтоватые иголочки или как тонкие призмы в связке или пучках (рис. 52-56). Ураты аммония и аморфные кристаллы урата нерастворимы в кислой моче. Однако, добавление 10% уксусной кислоты в мочевой осадок, содержащий эти кристаллы, часто приводит к выделению мочевой кислоты и иногда кристаллов натрия урата. Добавление уксусной кислоты к аморфным кристаллам фосфата приводит к их быстрому растворению, в то время как они продолжают сохраняться в осадке щелочной мочи.
Интерпретация
Аммония ураты и аморфные ураты могут встречаться у, по-видимому, нормальных собак и кошек. Часто они обнаруживаются у собак с портальными сосудистыми аномалиями с или без сопутствующими аммоний уратными уролитами. Также они распространены среди далматинов, английских бульдогов и других собак и кошек по причинам, несвязанным с портальными сосудистыми аномалиями.
Рис. 43. Микрофотография кристаллов аммония урата (форма колючего яблока) в мочевом осадке 3-летнего кобеля английского бульдога с аммоний уратными камнями в мочевом пузыре (не окрашено, увеличение Х 250).
Рис. 44. Микрофотография кристалла аммония урата в виде колючего яблока в мочевом осадке 7-месячного йоркширского терьера с портальной сосудистой аномалией (не окрашено, увеличение Х 250).
Рис. 45. Сканированная электронная микрофотография кристалла, описанного в рис.44 (увеличение Х 2,880).
Рис. 46. Микрофотография кристаллов аммония урата в мочевом осадке годовалой самки Персидской кошки с портальной сосудистой аномалией (не окрашено, увеличение Х 128).
Рис. 47. Микрофотография рыжевато-коричневых аморфных кристаллов аммония урата и кристаллов магний аммоний фосфата в мочевом осадке 3-летнего кобеля английского бульдога с аммоний уратными камнями в мочевом пузыре (не окрашено, увеличение Х 128).
Рис. 48. Сканированная электронная микрофотография кристаллов, описаных в рис. 43, 47 (увеличение Х 8,640).
Рис. 49. Микрофотография аморфных кристаллов аммония урата в мочевом осадке 7-летнего аляскинского маламута с аммоний уратными камнями в мочевом пузыре (не окрашено, увеличение Х 128).
Рис. 50. Сканированная электронная микрофотография аморфных кристаллов аммония урата, смежных с кристаллами мочевой кислоты в закисленном мочевом осадке собаки, описанной в рис. 49 (увеличение Х 5,400).
Рис. 51. Микрофотография аморфных кристаллов аммония урата в мочевом осадке собаки, описанной в рис. 44 (не окрашено, увеличение Х 250).
Рис. 52. Микрофотография кристаллов натрия урата в мочевом осадке собаки, описанной в рис. 49 (не окрашено, увеличение Х 128).
Рис. 53. Микрофотография рыжевато-коричневых кристаллов натрия урата, кристаллов магний аммоний фосфата и кристаллов кальция оксалата дегидрата в мочевом осадке собаки (не окрашено, увеличение Х 51).
Рис. 54. Микрофотография кристаллов аммония урата в мочевом осадке собаки, описанной в рис. 43 (не окрашено, увеличение Х 40).
Рис. 55. Микрофотография кристалла в мочевом осадке собаки, описанной в рис. 43 и 54 после добавления 10% уксусной кислоты (не окрашено, увеличение Х 250).
Рис. 56. Сканированная электронная микрофотография кристаллов натрия урата в закисленном мочевом осадке собаки, описанной в рис. 43,54 и 55. Обратите внимание на маленький в форме алмаза кристалл (увеличение Х 2,340).
КРИСТАЛЛУРИЯ МОЧЕВОЙ КИСЛОТЫ
Особенности
Кристаллы мочевой кислоты часто встречаются желтого или желто-коричневого цвета различных форм. Наиболее характерная форма - алмаза или ромбической пластины с концентрическими кругами (рис. 57-61). Также они могут встречаться в виде розеток, состоящих из нескольких агрегированных кристаллов мочевой кислоты. Иногда они встречаются как ромбические пластины с одним или несколькими парными выступами по бокам (рис. 62-63). Гораздо реже они встречаются в форме шестигранных кристаллов, напоминая цистин. Однако, шестигранные кристаллы всегда встречаются вместе с типичными кристаллами алмазной или ромбовидной формы. Кристаллы мочевой кислоты растворимы в гидроксиде натрия, но нерастворимы в спирте, соляной кислоте и уксусной кислоте.
Интерпретация
Являясь довольно распространенной среди людей, кристаллурия мочевой кислоты нечасто встречается у собак и кошек.
Кристаллы мочевой кислоты формируются п
Вместе с этим смотрят:
Cовершенствование организации производства молока на КПУП "ГМЗ № 3"
Cостояние полезащитных лесных полос в северном Приднестровье
РЖнтегрований захист озимоi пшеницi
РЖнтенсифiкацiя та ii економiчна ефективнiсть у сiльському господарствi