Болезни мелких животных
АКТ
судебно-ветеринарного вскрытия трупа поросенка
5 марта 2009 года , 12.00
г. Витебск
Мною, студенткой 7 группы 4 курса факультета ветеринарной медицины Денисенко М.А., под руководством заведующего кафедры патологической анатомии и гистологии профессора Прудникова В.С., на основании письменного предписания прокурора Сенненского района Лебедева И.В. за № 32 от 5 марта 2009 года, в присутствии профессора Прудникова В.С., прокурора Сенненского района Лебедева И.В. и студентов 7 группы произведено в прозектории кафедры патанатомии УО ВлВитебская ордена ВлЗнак ПочетаВ» государственная академия ветеринарной медицины вскрытие поросенка, хрячка, в возрасте 2 дней, белой масти, белорусской белой породы, принадлежащего свинокомплексу РУСП имени П.М. Машерова Сенненского района, Витебской области.
Согласно письменному предписанию прокурора Сенненского района Лебедева И.В. за № 32 от 5 марта 2009 года требуется выяснить следующее:
1. От чего пало животное?
2. Можно ли было спасти животное, если да, то как?
3. Как профилактировать данное заболевание?
Анамнестические и клинические данные
Свинокомплекс на 24000 голов РУСП имени П.М. Машерова. Сенненского района Витебской области.
На свинокомплексе периодически наблюдается, заболевание и падеж поросят в возрасте 0-2, 0-4 месяца с клиническими признаками: гастроэнтерит, воспаление легких. Поросята часто рождаются слаборазвитыми (массой 600-700 г.) иногда наблюдаются случаи абортов и мертворожденности.
Кормление супоросных и подсосных свиноматок тАУ комбикорм для откорма свиней согласно зоотехническим нормам. Водопой не ограничен.
На свинокомплексе часто наблюдаются нарушение зоотехнических условий содержания свиноматок и поросят - повышенное содержание аммиака в помещениях, повышенная влажность.
При патологоанатомическом вскрытии трупов поросят иногда наблюдались тАУ гипотрофия, острый катаральный или катарально-геморагический гастроэнтерит, катаральная иногда крупозная пневмония, серозно-фибринозный плеврит, перикардит, истощение и общая анемия.
При бактериологическом исследовании в райветлаборатории иногда выделяются возбудители колибактериоза, сальмонеллеза, пастереллеза и гемофилезной плевропневмонии.
Противоэпизоотические мероприятия проводятся регулярно и в соответствующие сроки согласно плану.
Наружный осмотр
1.Общий вид трупа. Телосложение пропорциональное, упитанность ниже средней, масса около 1 килограмма (поросенок-гипотрофик), живот незначительно вздут.
2.Естественные отверстия. Рот закрыт, по окружности без загрязнений и экскретов, прикус зубов правильный, слизистые оболочки влажные, блестящие, бледно тАУ серого цвета, язык находится в ротовой полости.
Носовые отверстия чистые, слизистая оболочка влажная, без посторонних наложений и припуханий, тёмно-красного цвета, набухшая, целостная, покрыта слизью. (катаральный ринит)
Глаза. Глазные щели закрыты, окружности их чистые, кожа век чистая, глазные яблоки запавшие, роговица полупрозрачная, конъюнктива влажная, серого цвета с синюшным оттенком, без припуханий и наложений.
Уши. Ушные раковины нормальные, наружный слуховой проход чистый.
Анус приоткрыт, испачкан жидкими фекалиями желтоватого цвета. Слизистая оболочка синюшно-красного цвета, суховатая, без наложений. Слизистая половых органов влажная, блестящая, серого цвета с синюшным оттенком.
3.Наружные покровы. Щетина взъерошенная, матовая, в коже удерживается хорошо, участки облысения отсутствуют.
Кожа слабо эластичная, без повреждений и патологических изменений. Цвет бледно-розовый. Отеков не обнаружено. В подкожной клетчатке жир отсутствует, подкожная клетчатка суховатая.
Копытца без повреждений, наложений, твердые, прикреплены прочно.
4. Скелетные мышцы тАУ недоразвиты, консистенция мышц упругая, цвет тёмно тАУ красный, рисунок волокнистого строения выражен, мышцы суховатые.
5. Кости, суставы, сухожилия. Кости твёрдые, нормальной конфигурации, белого цвета, форма лицевой части черепа не деформирована.
Суставы подвижны, форма не изменена, в их полости содержится небольшое количество желтоватой синовиальной жидкости, суставные поверхности костей гладкие, влажные, белого цвета с синим оттенком. Синовиальные оболочки влажные, гладкие, серого цвета. Сухожилия плотные, серо-белого цвета.
6. Трупные изменения. Труп холодный. Трупное окоченение скелетных мышцах хорошо выражено. Трупное разложение и другие трупные изменения отсутствуют. Посмертные сгустки крови: свернувшаяся кровь в левом и правом желудочке сердца (резиноподобной консистенции, хорошо оделяется от стенок желудочков). Причем правый желудочек переполнен и незначительно увеличен кровью (асфиктической сердце).
Внутренний осмотр
7. Брюшная полость. Положение органов анатомически правильное, постороннего содержимого не обнаружено. Париетальная и висцеральная брюшина влажная, гладкая, блестящая, прозрачная, серо-розового цвета, без наложений и спаек.
8. Сальник и брыжейка жира не содержат, кровеносные сосуды малокровны.
9. Диафрагма тАУ купол диафрагмы расположен на уровне 7 межреберья, серозные оболочки (брюшина и плевра) влажные, блестящие, серого цвета. мышечная часть хорошо развита, серовато-красного цвета, с хорошо выраженным волокнистым строением.
10. Грудная полость. Положение анатомически правильное, в полости обнаружено 2-3 мл жидкости розового цвета, водянистой консистенции, с примесью крови. Костальная и легочная плевра влажная, блестящая, прозрачная, серого цвета с синюшным оттенком.
Иммунная система.
11. Костный мозг грудной и эпифизов трубчатых костей серого - красного цвета, студневидной консистенции.
12. Тимус нормальных размеров, бобовидной формы, хорошо выражена дольчатость, Консистенция долек упругая, темно-коричневого по периферии и светло-коричневого цвета в центре.
13. Лимфатические узлы: подчелюстные, заглоточные, предлопаточные (поверхностные шейные), поверхностные паховые, средостенные, бронхиальные не увеличены в размере, округлой формы, упругой консистенции, серо-желтого цвета, рисунок фолликулярного строения на разрезе сохранен. Брыжеечные лимфоузлы увеличены в размере, круглой формы, упругой консистенции, серого цвета на наружной поверхности, на разрезе серо-красного цвета, сочные, рисунок фолликулярных узелков сглажен, поверхность разреза влажная (серозное воспаление брыжеечных лимфоузлов).
14. Селезёнка не увеличена в объеме, форма не изменена, капсула не напряжена, края острые, орган упругой консистенции, темно тАУ вишневого цвета, рисунок фолликулярного и трабекулярного строения сохранен, соскоб пульпы незначительный.
15. Глоточные миндалины без видимых патоморфологических изменений(не увеличены в размере, форма не изменена, розового цвета.
Сердечно-сосудистая система.
16. Перикард.В его полости содержится небольшое количество прозрачной белой жидкости. Перикард влажный, гладкий, блестящий, полупрозрачный, серого цвета, легко снимается, наложений нет.
Сердце не увеличено в размере, конусовидной формы, стенка правой половины поражена. Мышца правой половины сердца набухшая, дряблая, по цвету напоминает ошпаренное мясо, рисунок волокнистого строения сглажен. Соотношение правой половины сердца к левой 1:3 (зернистая дистрофия сердца), также отмечается переполнение кровью правой половины сердца (асфиктическое сердце);
Клапаныэластичные, белого цвета, эндокард гладкий, блестящий, прозрачный, серого цвета. Под эпикардом небольшое наложение жира желтого цвета, мягкой консистенции. Полости сердца заполнены свернувшейся кровью: темно-красного цвета, эластичной консистенции, поверхность сгустков гладкая, влажная, блестящая, имеют форму полости сердца, легко извлекаются.
17. В крупных кровеносных сосудах (аорта, яремные вены) содержится несвернувшаяся темно-красная кровь, стенки сосудов эластичные, интима гладкая, блестящая, светло-желтого цвета.
Дыхательная система.
18. В носовой полостинаходятся незначительные мутные слизистые истечения, серо-желтого цвета. Слизистая оболочка набухшая, гиперемированная, с наложениями. Носовые раковины и перегородка незначительно деформированы (катаральный ринит).
19. Гортань, трахея и бронхи без постороннего содержимого, слизистая оболочка влажная, блестящая серого цвета. Просвет дыхательных путей нормальный без постороннего содержимого. Хрящи гортани и хрящевые кольца трахеи эластичны.
20. Легкие не спавшиеся, сине-красного цвета, дольчатость слабо выражена, тестоватой консистенции. С поверхности разреза стекает пенистая красноватая жидкость. Кусочки пораженных долей легких в воде плавают, погрузившись в воду (острая венозная гиперемия и отек легких).
Пищеварительная система
21. В ротовой полости, глотке и пищеводе постороннего содержимого нет. Слизистые оболочки влажные, бледно-серого цвета. Язык упругий, мышца красного цвета, рисунок волокнистого строения выражен, слизистая оболочка ротовой полости бледно-серого цвета.
22. В желудке содержатся сгустки молозива. Слизистая оболочка набухшая, тусклая, в донной части желудка интенсивно покрасневшая, на поверхности слизь серого цвета. Язв и эрозий не обнаружено ( подострый катаральный гастрит).
23. В тонком кишечнике (двенадцатиперстная, тощая и подвздошная кишки) кормовых масс нет. Слизистая оболочка тонкого кишечника набухшая, покрасневшая, матовая, без блеска, обильно покрыта слизью серого цвета. Подслизистая и мышечная оболочки в воспаспалительный процесс не вовлекаются. В толстом кишечнике (слепая, ободочная и прямая кишки). Слизистая оболочка кишок гиперемирована, матовая, без блеска, обильно покрыта тягучей слизью серого цвета. (острый катаральный гастроэнтерит)
24. Печень увеличена в размере, края притуплены, капсула напряжена, форма не изменена, консистенция уплотнена, цвет красно-коричневый, рисунок дольчатого строения не четкий, поверхность разреза влажная, с поверхности разреза стекает незначительное количество крови (зернистая дистрофия с выраженной застойной гиперемией).
Желчный пузырь незначительно расширен, в нём содержится 3-5 мл желчи, слизистая оболочка бархатистая, желто-зеленого цвета. Проходимость желчного протока сохранена (переполнение желчью).
25. Поджелудочная железа серого цвета, упругой консистенции с хорошо выраженным дольчатым строением.
Мочеполовая система
26. В околопочечной клетчатке содержится незначительное количество жира серовато-желтоватого цвета. Почки слегка увеличены в объеме, мягкой консистенции, красно-серого цвета, капсула напряжена, легко снимается, на разрезе граница между корковой и мозговой зонами слабо выражена (зернистая дистрофия со слабовыраженной застойной гиперемией).
27. В мочевом пузыре содержится около 6-8 мл мочи светло-жёлтого цвета, слизистая оболочка гладкая, блестящая, бледно-серого цвета. Мочеиспускательный канал без патоморфологических изменений.
28. Семенники, придатки, половой член и препуций не исследовали.
Эндокринная система
29. Щитовидная железа тАУ не увеличена в размере, округлой формы, красного цвета, упругой консистенции, рисунок строения на разрезе сохранен (без патоморфологических изменений).
30. Надпочечники не увеличены, правильной формы, упругой консистенции, красно-коричневого цвета, на разрезе граница между корковым и мозговым веществом выражена.
Нервная система
31. Головной и спинной мозг не исследовались.
Лабораторные исследования
Для лабораторной диагностики, включающей изоляцию вируса на первичных и перевиваемых линиях клеток поросят с последующей идентификацией вируса в РНФ, РН, ВИЭОФ, ELISA и определении титра антител в сыворотке крови реконвалесцентов, на кафедру патологической анатомии и гистологии были отправлены отрезки тонкой и подвздошной кишок с содержимым, перевязанные с двух сторон лигатурами, и мезентериальные лимфоузлы от павшего поросенка.
В исследованном материале с использованием специальных сывороток был выделен в большом количестве антиген вируса трансмиссивного гастроэнтерита свиней.(смотри приложение 3).
Вет. врач /Денисенко М.А./
Присутсвовали /Прудников В.С./
/Лебедев И.В./
Патологоанатомический диагноз:
1. Острый катаральный гастроэнтерит.
2. Серозное воспаление брыжеечных лимфоузлов.
3. Острая венозная гиперемия и отек легких.
4. Зернистая дистрофия печени, почек и сердца с признаками венозной гиперемии.
5. Зернистая дистрофия сердца с признаками асфиксии.
6. Эксикоз.
7. Истощение, общая анемия.
Результаты лабораторных исследований
При гистологическом исследовании патматериала в лаборатории кафедры патологической анатомии и гистологии Витебской государственной академии ветеринарной медицины установили патоморфологические изменения лимфоузлов: гиперемия кровеносных сосудов, серозный отек синусов и паренхимы, увеличение в размерах фолликулов, скопление в мозговых тяжах плазмоцитов.
При вирусологическом исследовании был выделен возбудитель короновирус Transmissible gastroenteritis virus/
Заключение
1. От чего пало животное?
На основании анамнестических, клинических и эпизотологических данных, анализа результатов вскрытия был поставлен диагноз - коронавирусный гастроэнтерит. Возбудителем данной болезни является РНК содержащий вирус (Porcine transmissille gastroenteritis virus), рода Coronavirus семейства Coronaviridae. Предрасполагающими факторами явились: нарушения санитарно-гигиенических норм условий содержания и кормления супоросных свиноматок и поросят-сосунов, дача комбикорма для откорма свиней супоросным свиноматкам, и как следствие внутриутробный кормотоксикоз, рождение приплода с ослабленным иммунитетом, рождение поросят-гипотрофиков.
2. Можно ли было спасти животное, если да, то как?
В случае оказания своевременного лечения: используют гипериммунные сыворотки и сыворотки реконвалесцентов, в которых имеются антитела к коронавирусу одновременно с антибактериальными и иммуностимулирующими препаратами, пробиотики. Применяют также симптоматические методы лечения направленные на предотвращение обезвоживания организма и осложнения бактериальной микрофлорой.
3. Как профилактировать данное заболевание?
Общая профилактика сводится к недопущению заноса в хозяйство вирусоносителей, строгому соблюдению за санитарным состоянием свиноводческих помещений, выполнению принципа Влвсе пусто тАУ все занятоВ» при формировании групп, недопущению избыточного количества животных в группе, систематическая дезинфекция и инвентаря.
Для специфической профилактики используют живые и инактивированные моно- и ассоциированные вакцины, гипериммунные сыворотки.
Инактивированные вакцины применяют свиноматкам внутримышечно, подсосным поросятам тАУ интраперитонеально.
Вет. врач /Денисенко М.А./
5 марта 2009
Список используемой литературы
1. Вскрытие животных и дифференциальная диагностика болезней / М.С. Жаков, В.С. Прудников, И.А. Анисим и др. тАУ Мн.: Ураджай, 1998 тАУ 188с.
2. Инфекционные болезни молодняка сельскохозяйственных животных / А.Н. Куриленко, В.Л Крупальник тАУ М.: Колос, 2001 тАУ С. 38 тАУ 51.
3. Патологическая анатомия сельскохозяйственных животных / А.В. Жаков, П.В. Шишков и др. тАУ М.: Колос, 1995.
4. Профилактика инфекционных болезней молодняка / М.А. Сидоров тАУ М.: Колос, 1983 тАУ С. 60 тАУ 68.
5. Справочник по вскрытию трупов и патоморфологической диагностике болезней животных / В.С. Прудников, Б.Л. Белкин и др. тАУ Вит.: УО ВГАВМ, 2007.
ПРИЛОЖЕНИЕ № 1
Сопроводительное письмо
В ВИТЕБСКУЮ АКАДЕМИЮ ВЕТЕРЕНАРНОЙ МЕДЕЦИНЫ.
Зав кафедрой ПАТАЛОГИЧЕСКОЙ АНАТОМИИ
Профессору Прудникову В. С.
Свинокомплекс на 24000 голов РУСП имени П.М. Машерова. Сенненского района Витебской области направляет трупы поросят в возрасте 0-2 0-4 месяца для патологического вскрытия и установления причин заболевания и падежа.
На свинокомплексе периодически наблюдается, заболевание и падеж поросят в возрасте 0-2, 0-4 месяца с клиническими признаками: гастроэнтерит, воспаление легких .Поросята часто рождаются слаборазвитыми (массой 600-700 г.) иногда наблюдаются случаи абортов и мертворожденности.
Комплекс супоросных и подсосных свиноматок тАУ комбикорм для откорма свиней согласно зоотехническим нормам. Водопой не ограничен
На свинокомплексе часто наблюдаются нарушение зоотехнических условий содержания свиноматок и поросят - повышенное содержание аммиака в помещениях, повышенная влажность.
При патологоанатомическом вскрытии трупов поросят иногда наблюдались тАУ гипотрофия, острый катаральный или катарально-геморагический гастроэнтерит, катаральная иногда крупозная пневмония, серозно-фибринозный плеврит, перикардит, истощение и общая анемия.
При бактериологическом исследовании в райветлаборатории иногда выделяются возбудители колибактериоза, сальмонеллеза, пастереллеза и гемофилезной плевропневмонии.
Противоэпизоотические мероприятия проводятся регулярно и в соответствующие сроки согласно плану
Главветврач Ф.К. Денисюк
ПРИЛОЖЕНИЕ №2
![]() |
Рисунок 1 Расположение органов брюшной полости свиньи




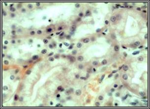
Рисунок 4 Зернистая дистрофия почки (окраска гематоксилин-эозином)

Рисунок 5
![]() |
Рисунок 6
ПРИЛОЖЕНИЕ 3
Сопроводительное письмо
В Витебскую государственную академию ветеринарной медицины.
На кафедру патологической анатомии и гистологии.
Адрес: 210602, г. Витебск, ул. Доватора, д. 7/11.
При этом направляется для гистологического исследования патологический материал: брыжеечные лимфатические узлы, а для вирусологического исследования: отрезки тонкой и подвздошной кишок с содержимым перевязанные лигарутой с двух сторон. Патологический материал доставили в стеклянном сосуде, помещенном в термос с сухим льдом. Патматериал получен от трупа поросенка, в возрасте 2 дней, принадлежащего свинокомплексу РУСП имени П.М. Машерова Сенненского района, Витебской области.
Поросенок заболел 2 марта 2009 года, пал 4 марта 2009 года.
Клинические симптомы: общее угнетение, рвота, диарея, феколии водянистой консистенции, желтоватого цвета, неприятного запаха, истощение, полное обезвоживание.
Патологоанатомические изменения:
Острый катаральный гастроэнтерит, серозное воспаление брыжеечных лимфоузлов, острая венозная гиперемия и отек легких, зернистая дистрофия печени, почек и сердца с признаками венозной гиперемии, зернистая дистрофия сердца с признаками асфиксии, эксикоз, истощение, общая анемия.
Предположительный диагноз тАУ коронавирусный гастроэнтерит поросят.
Дата отправки патматериала тАУ 5 марта 2009 года
Ветврач Денисенко М. А.
Вместе с этим смотрят:
Cостояние полезащитных лесных полос в северном Приднестровье
РЖнтегрований захист озимоi пшеницi
РЖнтенсифiкацiя та ii економiчна ефективнiсть у сiльському господарствi
РЖнфекцiйнi захворювання тварин
РЖсторiя селекцiйноi роботи по виведенню нових сортiв мтАЩякоi озимоi пшеницi

