Болезни, возникающие от курения. Профилактика курения
Массовое распространение курения сделало эту проблему международной. Курение стали называть чумой ХХ века. Научные исследования в этой области не оставляют сомнений в том огромном вреде, который курение наносит людям.
По данным Всемирной Организации Здравоохранения (ВОЗ), в промышленно развитых странах курение является прямой или косвенной причиной 20% смертей.
Табак в Европе убивает в 4 раза больше людей, чем автомобильные катастрофы.
Особенно волнует тот факт, что курение стало распространяться среди молодежи и женщин. Многие не знают о том, что курение, которое начинается Влс баловстваВ», Влиз желания подражатьВ», Влне отставать от модыВ», Влскорее стать взрослымВ», превращается в коварное пристрастие, губительное для здоровья. Курение особенно вредно для молодого, развивающегося организма. Оно сковывает волю, подтачивает здоровье, укорачивает жизнь.
Вследствие выносливости организма человека вредное влияние курения сказывается только через много лет.
Проведенные многочисленные опросы населения показывают, что многие не знают или знают недостаточно о вреде и всех последствиях курения.
За увлечение курением приходится платить слишком дорого, так как вместе с табаком курильщики постепенно ВлвыкуриваютВ» самое драгоценное тАУ здоровье.
1. ОБЩЕЕ ДЕЙСТВИЕ ТАБАЧНОГО ДЫМА НА ОРГАНИЗМ
Курение независимо от количества потребляемых в день сигарет, папирос, трубок всегда (всегда!) раньше или позже ведет к заболеванию ишемической болезнью сердца, хроническим бронхитом, эмфиземой легких, бронВнхиальной астмой, бронхоэктатической болезнью, накоВннец раком. Курение не столько порождает многие забоВнлевания, сколько способствует эволюции или прямо стиВнмулирует развитие болезней, ослабляя защитные реакции организма.
По данным комитета экспертов ВОЗ, проведенные в широком масштабе исследования показали, что: 1) смертность среди курящих в целом на 30тАФ80% выше, чем среди некурящих; 2) смертность возрастает с увеличением количества выкуриваемых сигарет; 3) смертность выше среди людей, начавших курить в молодом возрасте; 4) показатели нетрудоспособности у курящих выше, чем у некурящих.
В последнее время получены дополнительные данные, которые подтвердили развитие болезненных процессов, возникающих или обостряющихся под воздействием куВнрения и сказывающихся на показателях смертности и заболеваемости. Так, среди лиц, выкуривающих 20 и более сигарет в день, смертность приблизительно в 15 раз выше, чем среди некурящих. По данным доктора Пауна из ГДР, в возрасте от 40 до 49 лет курящие умирают в 3 раза чаще, чем некурящие, главным образом от инфаркта миокарда и рака легких. При прекращении курения показатели смертности имеют тенденцию к сниВнжению. Многочисленными научными исследованиями со всей очевидностью показано, что курящие в среднем живут на 5тАФ6 лет меньше, чем те, кто не курит. У заядВнлых курильщиков укорачивается жизнь, по некоторым данным, более чем на 10 лет. В Англии большое число преждевременных смертей от респираторных и сердечно-сосудистых заболеваний связывают с курением. Во Франции от болезней, вызванных курением, ежегодно умирает около 35 тысяч человек, в США тАФ 300 тысяч человек. В 1967 г. в Японии было проведено крупное исследование по выяснению связи смертности с куреВннием. Оказалось, что смертность среди как мужчин, так и женщин, курящих сигареты, на 22% выше, чем среди тех, кто не курит.
Под влиянием курения изменяется состав крови, в ней уменьшается количество эритроцитов; быстрее стаВнреют кровеносные сосуды.
Никотин, содержащийся в табаке, требует повышенВнного притока кислорода, но одновременно окись углероВнда, также входящая в табачный дым, уменьшает его поступление. Кроме того, часть гемоглобина прочно свяВнзывается с угарным газом, образуя оксигемоглобин, коВнторый лишен способности доставлять кислород к ткаВнням организма. Таким образом, курильщик, вдыхая таВнбачный дым, обрекает себя на кислородное голодание. Установлено, что способность крови снабжать ткани кислородом у тех, кто курит, понижается на 5тАФ10%. Это приводит к ухудшению самочувствия.
Никотин отрицательно действует на обменные проВнцессы. У курящих в крови содержание витамина С вдвое меньше, чем у тех, кто не курит. Более того, дефицит витамина С может развиться и у тех, кто сам не курит, но постоянно подвергается воздействию табачного дыВнма. Недостаток этого витамина особенно вредно сказыВнвается на здоровье детей, так как в период роста и форВнмирования организм очень чувствителен к недостатку витаминов, в том числе и витамина С. Дефицит витамиВнна С весьма значителен у тех детей и подростков, котоВнрые или сами переняли у взрослых вредную привычку к курению, или вынуждены дышать отравленным воздуВнхом в накуренных помещениях. Только одна сигарета уничтожает в детском организме 2,5 мг витамина С (суточная потребность в нем тАФ от 20 до 50 мг в зависимости от возраста).
Отрицательно воздействует курение на умственную деятельность человека. У курильщиков постепенно ослаВнбевает память, появляются головные боли, раздражиВнтельность, бессонница, утомляемость, а затем развиваВнется неврастения. Опыты показали, что для выполнения работы, которую человек делает за 8 часов, после выкуривания пачки сигарет требуется на 2 часа больше времени. При длительном курении может ухудшиться зрение, развиться глухота. У курящих людей часто нарушаются обоняние и вкус. Такие люди могут не ощуВнщать вкус сладкого, у них притупляется способность различать запахи.
Вредно влияет курение на функцию желез внутренВнней секреции, таких как гипофиз, щитовидная и околоВнщитовидная железы, надпочечники и др.

2. ВЛИЯНИЕ КУРЕНИЯ НА НЕРВНУЮ СИСТЕМУ.
Курение особенно отрицательно сказывается на нервВнной системе человека, постепенно расшатывая ее. НаруВншение деятельности нервной системы приводит к расВнстройству функций сердечно-сосудистой системы и оргаВннов пищеварения.
Отрицательное действие никотина на центральную нервную систему выражается вначале в ее возбуждении, затем в угнетении. В результате курящие становятся раздражительными и легковозбудимыми, у них нарушаВнются сон, аппетит.
Как при остром, так и при хроническом отравлении никотином на первое место выступают явления, связанВнные с деятельностью центральной нервной системы. При хроническом отравлении в нервной системе происходят большие изменения из-за длительного действия одного из сильнейших ядов тАФ никотина. Как показали опыты на кроликах, длительное вдыхание табачного дыма выВнзывает деструктивные изменения в спинном мозге и пеВнриферической нервной системе животных. Никотин окаВнзывает сильное действие на нервные центры, которые находятся в спинном мозге. Вследствие угнетения центВнров, управляющих половой деятельностью, у мужчин появляется половое бессилие, у женщин преждевременВнно прекращаются менструации.
Отрицательно воздействует курение на умственную деятельность человека. У тех, кто курит, нередко возникают расстройства памяти, головная боль, бессонница, дрожание рук, снижается работоспособность, ухудшается настроение.
Под влиянием курения могут развиться невриты, поВнлиневриты, радикулиты и др. При этих заболеваниях возникают болевые ощущения по ходу нервов.
В результате неумеренного курения может возникВннуть спазм мозговых сосудов, сопровождающийся потеВнрей сознания, головокружением и рвотой.
У курильщиков нередко развивается склероз мозговых сосудов, вследствие чего ухудшается питание мозга, могут возникнуть эпилептические (судорожные) приВнпадки. У них в 3тАФ4 раза чаще бывают кровоизлияния в мозг.
Табак оказывает на центральную нервную систему наркотическое действие: человек теряет волю, станоВнвится полностью подвластным постоянно испытываемой им неодолимой потребности в курении. Со временем эта потребность усиливается, и человек начинает курить наВнтощак, по ночам, после еды, при выходе из помещения на улицу. Часто такие люди не в состоянии приступить к работе не закурив.
![]() |
3. ВОЗДЕЙСТВИЕ КУРЕНИЯ НА ОРГАНЫ ДЫХАНИЯ
Рак легкого
Курение прежде всего отрицательно сказывается на органах дыхания.У курящих людей часто бывают хронические заболёвания глотки, гортани, бронхов и легких. Уже проходя через верхние дыхательные пути, табачный дым раздражает слизистую оболочку носоглотки, гортани, трахеи и бронхов, вызывая обильное отделениеслизи и слюны. Скопление последних в определенных участках слизистой оболочки бронхов вызывает кашлевой рефлекс, а следовательно, и постоянный кашель. ПиВнридин и его производные также вызывают кашель по утрам, раздражая слизистую оболочку горла, языка, глаз. Раздражающие вещества, содержащиеся в табачВнном дыме, являются причиной спазма бронхов, гиперВнтрофии слизистых оболочек желез, которые выделяют избыточную слизь в виде мокроты. Все это ослабляет сопротивляемость легких к инфекциям. Из-за неполного сгорания табака в дыме содержатся в огромном колиВнчестве частицы сажи и деготь, частично оседающие в дыВнхательных путях. Яды табачного дыма пагубно действуют на верхние дыхательные пути и легкие. Постепенно развиваются ларингит (голос становится хриплым), траВнхеит, хронический бронхит, эмфизема легких. Повторные заболевания респираторными инфекцияВнми связаны с избытком выделения слизи и наблюдаются у курящих значительно чаще, чем у тех, кто не имеет этой вредной привычки.
При курении угнетается также защитная функция мерцательного эпителия, выстилающего бронхи, что способствует развитию различных легочных заболеваВнний. Не случайно процент больных туберкулезом легВнких среди курящих выше. У этих больных вредные веВнщества, содержащиеся в табачном дыме, резко изменяВнют и без того уже нарушенную функцию дыхания.
Курение не только способствует заболеванию туберВнкулезом органов дыхания, но и затрудняет лечение этой болезни.
Исследованиями подтверждено, что у людей, которые курят, функция легких менее полноценна, чем у некурящих. Отклонение от нормы выражается главным образом в сужении воздухопроводящих путей. Как покаВнзывают патологоанатомические исследования, легкие сорокалетнего курильщика выглядят, как легкие некурящих людей в возрасте 75тАФ80 лет. Нарушается также газообмен, что вызывает кислородную недостаточность.
После отказа от курения поражение бронхов приостаВннавливается. Если курить бросают в молодом возрасте, функция легких возвращается к норме. Прекращение курения после большого стажа может привести к знаВнчительному уменьшению одышки и кашля.
4. ВЛИЯНИЕ КУРЕНИЯ НА СЕРДЕЧНО-СОСУДИСТУЮ СИСТЕМУ
Курение способствует быстрому изнашиванию и стаВнрению сердечно-сосудистой системы, развитию ишемической болезни сердца и инфаркта миокарда, гипертоВннической болезни и атеросклероза, облитерирующего эидартериита и др.
Попадая в кровь, ядовитые вещества, содержащиеВнся в табачном дыме, разносятся по тканям за 21тАФ23 сеВнкунды (время полного кругооборота крови); т. е. почти мгновенно отравляют весь организм. После выкуриваВнния 2тАФ3 сигарет мелкие кровеносные сосуды приходят в состояние спазма, который сохраняется 20тАФ30 минут! У тех, кто выкуривает в день пачку сигарет, сосуды поВнстоянно находятся в состоянии спазма. Вследствие этоВнго уменьшается просвет мелких артерий, так как никоВнтин вызывает сужение кровеносных сосудов. В результате нарушается нормальное питание многих тканей организма.
При курении артерии теряют свою эластичность, стаВнновятся плотными, ломкими, хрупкими. С годами у куВнрильщиков просвет сосудов сужается все больше, и в конце концов это может закончиться катастрофой.
Постоянный спазм кровеносных сосудов, вызываеВнмый курением, является существенным фактором в возВнникновении гипертонической болезни, атеросклероза и тромбофлебита.
Под влиянием никотина быстрее изнашиваются такВнже сосуды мозга, просвет их сужается, уменьшается эластичность. Кровь поступает в меньшем количестве, что приводит к нарушению мозгового кровообращения, к кровоизлияниям в мозг.
Во время курения пульс учащается примерно на 20 ударов в одну минуту, так как сердце работает с повыВншенной нагрузкой. При этом сильно страдает функция сердца вследствие спазма мелких кровеносных сосудов, питающих сердечную мышцу., В результате спазма веВннечных сосудов у курящих бывают приступы сердцебиВнения, перебои, боли в области сердца.
Спазмы сосудов сердца тАФ наиболее частое осложнеВнние при курении. Результатом такого спазма может быть инфаркт миокарда тАФ омертвение участка сердечной мышцы вследствие нарушения ее питания. Омертвение большого участка сердечной мышцы приводит к смерВнти. Не случайно смертность от инфаркта миокарда среВнди курящих в возрасте 40тАФ50 лет в 3 раза выше, чем у тех, кто не курит.
Нередко отмечающиеся головокружение и рвота при чрезмерном курении также объясняются спазмом сосуВндов головного мозга.
Курение является основной причиной еще одного очень серьезного сосудистого заболевания нижних коВннечностей тАФ перемежающейся хромоты. Это заболевание связано с облитерирующим эндартериитом артерий голени и стопы, который может привести к гангрене (омертвению) нижних конечностей и нередко требуетампутации их.
Курение способствует также более раннему развиВнтию общего артериосклероза, в особенности склероза веВннечных сосудов сердца, что может привести к стенокарВндии (грудной жабе). Стенокардия примерно в 2 раза чаще, а приступы ишемической болезни сердца, привоВндящие к внезапной смерти, в 4 раза чаще возникают у курящих. Профессор Г. Ф. Ланг считал, что курение способствует ангиоспазмам, в частности венечных артерий сердца, проявляющимся приступами стенокардии. Если при появлении приступов стенокардии прекратить куреВнние, признаки болезни постепенно исчезают.
Курение является важной причиной возникновения ишемической болезни сердца, так как вносит вклад в развитие атеросклеротического процесса и в условия, вызывающие приступы стенокардии. Главная роль в механизмах развития ишемической болезни сердца под влиянием курения принадлежит окиси углерода. НикоВнтин вызывает повышение кровяного давления и частоты сердцебиений, а окись углерода тАФ недостаточность серВндечной деятельности.
Экспериментальными работами на животных устаВнновлено влияние никотина на повышение кровяного давВнления. Общее сужение кровеносных сосудов и повышенВнное кровяное давление приводят к тому, что число гиВнпертоников среди тех, кто курит, гораздо больше, чем среди некурящих, особенно в молодом и среднем возраВнсте. ВлТабачная гипертонияВ» ведет к раннему ВлтабачноВнму склерозуВ» кровеносных сосудов.
Никотин способствует также жировому перерождеВннию сердечной мышцы, снижая работоспособность сердВнца. Сердце при курении работает более учащенно, что приводит к преждевременному изнашиванию его.
5. ВЛИЯНИЕ КУРЕНИЯ НА ОРГАНЫ ПИЩЕВАРЕНИЯ
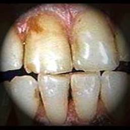
При хроническом отравлении никотином развиваютВнся болезненные состояния различных участков желудочВнно-кишечного тракта. Вследствие раздражения никотином нервных окончаний слюнных желез повышается слюноотделение, что вынуждает курящего сплевывать или глотать слюну, в которой находится ряд веществ табачного дыма. Раздражается слизистая оболочка полости рта. Никотин, откладываясь на слизистой оболочке десен и зубах, постоянно раздражает нервные окончания. Десны становятся рыхлыми, кровоточат, повреждается зубная эмаль. Зубы выглядят почерневшими, рано порВнтятся (Влкариес курильщиковВ»). При курении нередко расшатываются зубы, что ведет к их выпадению и восВнпалению десен. Особенно вредно действует на пищеваВнрение привычка заглатывать табачный дым, курить наВнтощак, а также непосредственно после еды и в ночное время. В результате снижается аппетит, так как никоВнтин тормозит сократительную деятельность желудка, от которой зависит в значительной мере ощущение голода. Могут отмечаться такие болезненные явления, как тошВннота, рвота, боли в желудке и кишечнике.
Под влиянием курения изменяется желудочная секВнреция, повышается кислотность желудочного сока, что содействует развитию гастрита (воспаление слизистой оболочки желудка). Кроме того, тонус гладкой мускулаВнтуры всего пищеварительного аппарата в период куреВнния вначале понижается, а затем усиливается. ПеренаВнпряжение процесса возбуждения приводит в дальнейВншем к торможению функций всего пищеварительного канала, за исключением входной и выходной части жеВнлудка. Последние усиленно сокращаются, в силу чего в желудке задерживается пища, что также создает услоВнвия для возникновения гастрита, который постепенно переходит в хронический. Если при этом в желудке или двенадцатиперстной кишке развиваются сосудистые спазмы, то создаются благоприятные условия для разВнвития язвы двенадцатиперстной кишки и желудка. МежВнду курением и распространенностью язвенной болезни желудка и двенадцатиперстной кишки прослеживается отчетливая связь. Заболеваемость язвенной болезнью желудка и двенадцатиперстной кишки среди курящих вдвое выше, чем у тех, кто не курит. Как показывают рентгеновские исследования, через 15 минут от начала курения прекращается нормальное сокращение желудВнка. Возобновляется оно только через 20тАФ30 минут поВнсле окончания курения, если в это время не поступают новые порции никотина. Лица, страдающие язвенной болезнью, часто отмечают, что курение усиливает боль. Больные, которые курят, плохо поддаются лечению, у них надолго задерживается процесс рубцевания язв жеВнлудка.
У курящих отмечаются и другие расстройства желуВндочно-кишечного тракта, в частности со стороны кишечВнника. Иногда у них развивается хронический гепатит, т, е. воспаление печени.
6. ВЛИЯНИЕ КУРЕНИЯ НА ПОЛОВУЮ ФУНКЦИЮ.
Курение отрицательно отражается на половой потенВнции мужчины, угнетая ее. Особенно отрицательно влияет курение на эрекцию, ослабляя ее и усиливая общие невВнрастенические проявления. Известны случаи снижения либидо (полового влечения). В настоящее время ни один врач-сексопатолог не возьмется лечить половое бессилие до тех пор, пока пациент не бросит курить. Крупнейший советский исследователь в области сексологии Л. ЯкобВнсон считает, что в 11% случаев импотенция, т. е. половая слабость, наступает вследствие чрезмерного курения. Он отмечает, что у лиц, обратившихся к нему за помощью по поводу половой слабости, потенция полностью восстанавливалась после того, как они бросали курить. К. Ширрен установил, что курение влияет на деяВнтельность мужских половых клеток. На основании обВнследования 2000 курящих автор сделал вывод, что выВнкуривание 20тАФ40 сигарет в день значительно угнетает способность сперматозоидов к передвижению и может привести к бесплодию. После полного прекращения куВнрения функция сперматозоидов нормализуется в проВнмежутке от 6 недель до 6 месяцев. При выкуривании хоВнтя бы 1тАФ2 сигарет в день полного восстановления этой функции не наблюдается.
Курение вредно отражается и на половой функции женщин, вызывая явления фригидности (снижение поВнлового влечения).
7. КУРЕНИЕ И ЗДОРОВЬЕ ПОДРОСТКА.
Чаще всего дети начинают курить в школьном возВнрасте. Так, в Норвегии общество по борьбе с раком обВнследовало большую группу молодежи и установило, что уже к 13 годам курят более половины мальчиков и много девочек. В Ирландии среди старшеклассников оказаВнлось 44% курящих мальчиков и 33% девочек. В США курит не менее 4,5 миллиона школьников. СтатистичеВнский анализ показывает, что более половины курящих начали курить в возрасте до 16 лет.
Желание казаться более взрослым, чувствовать себя Влнастоящим мужчинойВ» тАФ одна из основных причин наВнчала курения у мальчиков. Для некоторых подростков курение является символом самоутверждения и протеВнста против запрета на курение, который подростку каВнжется произвольным. Девушки и женщины чаще всего начинают курить в погоне за ВлмодойВ», из кокетства и подражания мужчинам. Некоторые девушки оправдывают курение тем, что оно якобы не позволяет им полнеть. В самом деле, куреВнние иногда ведет к похудению. Это связано с тем, что никотин отрицательно действует на обменные процессы, ухудшает аппетит. Однако следует иметь в виду, что есть более эффективные и безопасные методы снижения веса тела, в частности умеренное потребление пищи и заВннятия физкультурой.
В первое время, когда подросток начинает курить, организм препятствует введению яда (першит в горле, тошнит, появляется кашель, головокружение). Затем привычка курить становится настолько сильной и непреВнодолимой, что у подростка отмечаются явления пристВнрастия и зависимости.
Курение очень вредно отражается на здоровье подростков. У них сильно страдают нервная и сердечно-соВнсудистая системы. Цвет лица обычно бледный с землиВнстым оттенком. Появляется кашель, часто развивается анемия (малокровие). Тормозится общее развитие, заВндерживается рост, отмечается близорукость, слабеет паВнмять, снижаются сообразительность, внимание. ПодроВнстки становятся раздражительными, рассеянными, плоВнхо успевают в школе.
Следует отметить, что подростки обычно покупают самые дешевые сорта сигарет, в которых содержание ниВнкотина намного выше, чем в дорогих. Кроме того, они докуривают сигарету до конца (а наибольшее количестВнво никотина, как известно, содержится в ее конце), приВнчем выкуривают быстро, так как часто курят скрываясь. При этом в дым из-за быстрого сгорания табака выдеВнляется большое количество никотина и других ядовитых веществ. Все это способствует значительному отравлеВннию организма. Иногда подростки подбирают и докуриВнвают чужие окурки, что может приводить к заражению гельминтами (глистами) или инфекционными болезнями.
8. ВРЕД КУРЕНИЯ ДЛЯ ЗДОРОВЬЯ ЖЕНЩИН И ПОТОМСТВА.

Организм женщин, которые курят, подвергается особой опасности. Немецкий врач Вернхард в течение тридВнцати лет вел наблюдения, которые показали следующее: осложнения при родах чаще бывают у курящих женщин. Бездетность у таких женщин составила 41,5%, а у некуВнрящихтАФ 4,6%, заболевания щитовидной железы соотВнветственнотАФ 36,2% и 5,8%, преждевременный клиВнмакстАФ 65% и 3,9%. Курение способствует увяданию организма. Появляются преждевременные морщины, грубеют черты лица, кожа приобретает пепельно-серый оттенок, голос становится сиплым. По утрам возникает мучительный кашель. Движения становятся более резВнкими, отмечаются вспыльчивость, раздражительность.
Быстрое распространение курения среди женщин выдвинуло на повестку дня еще одну сложную проблеВнму - влияние курения во время беременности на внутВнриутробное развитие плода. Для беременной женщины курение очень опасно, так как никотин, легко всасываВнясь в кровь, отравляет ребенка уже в утробе матери, а после рождения младенец получает этот яд с грудным молоком. Мать может передать плоду через плаценту получаемые ею с табачным дымом канцерогены. У женВнщин, курящих во время беременности, значительно чаВнще наблюдаются выкидыши, мертворождения и гибель новорожденных в первые дни и месяцы жизни. Было подсчитано, что каждый пятый из погибших детей был бы жив, если бы их матери не курили.
Обследование 100 тысяч новорожденных, проведенВнное в США, показало, что основные последстВнвия курения во время беременности сводятся к задержке роста плода. Такие дети имели вес в среднем на 200 г меньше, чем младенцы некурящих матерей. Было также выявлено, что у курящих женщин в 2 или 3 раза чаще рождаются недоношенные дети.
Большой интерес представляют данные педиатра Росса, который установил связь между курением береВнменных женщин и заболеваниями родившихся от них детей. По его наблюдениям, у 40% женщин, выкуривающих более 10 сигарет в день, могут рождаться дети с повышенной предрасположенностью к судорогам и зпилептическим припадкам.
Каждая мать, если она курит, отравляет своего ребенка. Он растет хилым, слабым. Американские и английские ученые выявили, что в семьях, где есть хотя бы один курящий, дети вдвое чаще страдают от респираторных болезней. Дети, родившиеся от курящих матерей, отстают в росте и развитии до 7-летнего возраста. Аномалии развития и уродства также чаще встречаются у детей, родители которых злоупотребляют курением и алкоголем. Английский врач Николсон, наблюдая куВнрящих матерей и их детей, обнаружил любопытный факт. Оказалось, что дети, рожденные от матерей, злоупотребляющих курением, часто плачут в первые 3 меВнсяца жизни из-за того, что им не хватает никотина, к которому они привыкли в чреве матери.
9. ВРЕДНОЕ ДЕЙСТВИЕ ТАБАЧНОГО ДЫМА НА ОКРУЖАЮЩИХ.
Во время выкуривания только одной папиросы обраВнзуется до 2 литров табачного дыма, в каждом кубическом сантиметре которого содержится до 6 тысяч частиц копоти.
В этом дыме по сравнению с тем, что поглощается легкими курящего, количество дегтя и никотина значиВнтельно больше, бензпирена тАФ в три раза, окиси углероВнда тАФ в пять раз, аммиака тАФ в десять раз выше.
Для иллюстрации обратимся к цифрам. Вот как расходуется никотин при курении: остается в организме куВнрящего 20%; разрушается при сгорании 25%; остается в окурке 5%; уходит в воздух 50%. Итак, 50% никотина вместе с дымом остается в воздухе, которым дышат, так сказать, без вины виноватые.
Не все знают о так называемом Влпассивном куреВннииВ» тАФ вынужденном вдыхании табачного дыма лицаВнми, которые сами не курят, но находятся в контакте с курящими. Табачный дым задерживает ультрафиолетовые лучи, так необходимые человеку, осаждается в легВнких, загрязняет помещение. Воздух, загрязненный таВнбачным дымом, вызывает дискомфорт у некурящих, снижая их работоспособность. У них отмечаются головВнная боль, вялость, слабость, может обостряться бронВнхиальная астма, у восприимчивых лиц, страдающих аллергическими заболеваниями, могут возникать болезВнненные симптомы.
Вдыхание табачного дыма в накуренном помещении некурящими в течение часа соответствует ВлвыкуриваВнниюВ» ими четырех сигарет.
Лица, систематически находящиеся в накуренных, плохо вентилируемых помещениях, могут заболеть туВнберкулезом, воспалением глотки, гортани, трахеи, бронВнхов. Например, посмертное обследование некурящих выВнявило в их бронхах радиоактивный полоний, который, вероятно, появился там от дыма чужих сигарет. В крови и моче некурящих, подвергающихся воздействию табачВнного дыма, находили никотин. Исследования последних лет неопровержимо доказывают, что некурящие, систеВнматически вдыхающие табачный дым, заболевают раком легких столь же часто, как и те, кто курит. ИсследоваВнтели произвольно выбрали 200 пациентов клиники и у 32 из них обнаружили восприимчивость к сухим частиВнцам табачного дыма. Это свидетельствует о том, что милВнлионы людей с аллергическими заболеваниями страдают именно от пассивного курения. Многие взрослые, куря в помещениях, не представляют себе, какой вред они наносят детям. Подчас взрослые курят даже держа ребенка на руках. Исследования показали, что у детей, родители которых курят, в первый год жизни удваивается частота бронхитов и пневмоний, особенно опасных для жизни грудных младенцев. ИсслеВндования мочи таких детей в ряде случаев выявляют в ней канцерогенные вещества из табачного дыма, которые, естественно, прошли через детский организм.
Те, кто курит, должны помнить, что не следует куВнрить там, где готовят и принимают пищу, где находятся дети, в общественных местах, да и в любом другом меВнсте, где курение может оказаться неприятным для окружающих. Желательно, чтобы дети вообще не виВндели, что их родители курят.
10. КУРЕНИЕ И ЗАБОЛЕВАЕМОСТЬ РАКОМ.
При курении, как уже указывалось, в организм поВнступает не только никотин, но и другие химические веВнщества, в частности табачный деготь. В этом дегте соВндержится большое количество смол, в том числе и бензпирен, который, как показали исследования последних лет, вызывает рак или способствует его возникновению.
Воздействие табачного дегтя на слизистые оболочки дыхательных путей в течение многих лет оказывает, по мнению академика Ф. Г. Углова, вреднейшее влияние на эпителий бронхов, способствуя его раковому переВнрождению. Одно из наиболее тревожных последствий массового курения тАФ заболеваемость раком органов дыВнхания тАФ растет почти повсеместно. Заболеваемость раВнком легких за первую половину XX века возросло в 10тАФ 15 раз.
Многочисленные медико-статистические исследоваВнния свидетельствуют о прямой связи курения с заболеваВнемостью раком. Английский ученый Годбер отмечал, что с начала 30-х годов рак легких стал одной из основВнных причин смертности, причем значительное число заВнболевших раком этой локализации тАФ курящие. Рак легВнких в 15тАФ20 раз бывает чаще у тех, кто курит; причем 96% больных раком легких составляют курящие много лет. Тот, кто выкуривает более 30 сигарет в день, имеет в 30 раз больше ВлшансовВ», чем некурящий, умереть от рака. Статистические данные ВОЗ также подтверждают угрожающий рост смертности от рака легких. С 1952 по 1962 г. во многих странах Европы она возросла вдвое, в Канаде тАФна 55%, в США тАФна 60%.
Риск заболеть раком легких возрастает прямо пропорционально не только количеству ежедневно выкуриваемых сигарет, но и стажу курильщиков. Курящие заВнболевают раком легкого в 15 раз, а иногда и в 30 раз чаще, чем не имеющие этой привычки. Советский онколог Н. Н. Петров указывал, что табачный дым, несомненно, способствует возникновению рака легких, так как вмеВнсте с ним организм курящего поглощает ракообразующие углеводороды, возникающие из оболочек и опорВнных тканей табачных листьев при нагревании их до высоких температур. По расчету американского онколоВнга Уиидера, полное упразднение курения табака снизиВнло бы в США частоту заболеваний мужчин раком легких на 80%. После прекращения курения в значительной мере исчезают предраковые изменения в бронхах. Более того, риск заболеть раком у лиц, прекративших курить, постепенно уменьшается и через 5тАФ10 лет после прекраВнщения курения, по данным ряда исследований, приблиВнжается к таковому у некурящих.
Среди курящих отмечается повышенная заболеваВнемость не только раком легких. Клинические и эпидеВнмиологические исследования показывают, что легкие в этом отношении не имеют никакой привилегии. ЗлокаВнчественные опухоли на почве курения возникают также в полости рта, гортани, пищеводе, желудке, поджелуВндочной железе, мочевом пузыре и других органах. ОпасВнность появления рака ротовой полости и пищевода осоВнбенно возрастает, если курение сопровождается употВнреблением алкогольных напитков.
11.МЕРЫ БОРЬБЫ С КУРЕНИЕМ И ЕГО ПРОФИЛАКТИКА.
История свидетельствует о том, что жесткое преследование курильщиков не остановило широкого распространения куВнрения. Не помогло и прекращение или уменьшение выпуска табачных изделий. Люди находили суррогат табака. НаприВнмер, в годы гражданской войны появилось большое колиВнчество самосада. В 50-х- годах нашего века в штате КанВнзас (США) была запрещена продажа табачных изделий. Но эта мера ни к чему не привела. Курение продолжалось, и запрет был снят.
Ни запреты, ни прекращение выпуска табачных издеВнлий тАФ не выход из положения. Сегодня в борьбе с этим большим социальным злом мы должны рассчитывать на осознание людьми, особенно подростками, того, что курение наносит непоправимый вред здоровью и чем раньше его прекратить, тем лучше.
На конференции в Мадриде в 1970 г. Международный противораковый союз обратился к правительствам разных стран мира с просьбой о принятии законодательных и адВнминистративных мер по борьбе с курением.
Борьба за здоровье человека является одной из важнейВнших задач здравоохранения. Для предупреждеВнния хронических неинфекционных заболеваний необходимо устранить влияние многих вредных факторов, к которым в первую очередь относится курение, названное известным русским ученым-гигиенистом профессором Г. В. Хлопиным антисоциальной привычкой.
Медицинские работники должны усилить профилактиВнческую работу среди населения, воспитывая у людей потребВнность в здоровом образе жизни, отказе от вредных приВнвычек.
Борьба с курением строится на трех основных принциВнпах: 1) вырабатывать у людей, особенно у подростков и молодежи, твердое убеждение, что курение вредно, оно наноВнсит непоправимый ущерб здоровью и начинать курить не надо; 2) административные меры с целью ограничения и запрещения курения в общественных местах; 3) сокращение числа курящих за счет осознания ими вредных последВнствий.
В нашей стране запрещено курение в общественных местах тАФ театрах, кинотеатрах, цирках, концертных и спорВнтивных залах и др. Нельзя курить в метро, пригородных поездах, трамваях, троллейбусах, такси, в закрытых помеВнщениях водного транспорта (на катерах, речных и морских судах). В поездах дальнего следования курение возможно только в тамбурах. В самолетах курение не разрешается при полете до 4 ч.
В 1976 г. в Сочи состоялась Первая Всесоюзная научно-практическая конференция по борьбе с курением. Решения конференции получили широкое одобрение.
Особое внимание обращается на запрещение курения в школах, профессионально-технических училищах, техникуВнмах, институтах и в лечебных учреждениях. МинистерВнства просвещения, высшего и среднего специального обраВнзования, Госкомитет по профессионально-техническому обВнразованию принимают меры по борьбе с курением среди преподавателей и учащихся. Запрещена продажа табачных изделий несовершеннолетним.
Большая роль в борьбе с курением должна принадлеВнжать школе, пионерской, комсомольской организациям, обВнщественному мнению. Необходимо заинтересовать детей, подростков, молодежь занятиями в различных кружВнках, увлечь их физкультурой, спортом, экскурсиями и т. п.
Борьба с курением будет иметь успех лишь в том случае, если в ней примет активное участие широкая общественВнность страны. Основной упор должен быть сделан на праВнвильное воспитание молодежи. Специалисты считают, что борьбу с курением надо начинать уже с дошкольного возВнраста, внушая ребенку отвращение к сигарете. Первый наВнродный комиссар здравоохранения Н. А. Семашко писал, что надо создавать среди молодежи такое мнение, чтобы на малолетнего курильщика смотрели не как на героя, а как на невежу, не знающего самых элементарных правил гиВнгиены, как на психически ненормального.
В формировании установки на здоровый образ жизни важную роль призвано сыграть общественное мнение, особенно в молодежных коллективах. Борьба с курением должВнна стать частью воспитательной работы, и в ней нельзя ограничиваться лозунгами, даже если они будут броскими. Ничто не заменит ежедневной кропотливой раВнботы.
Проявлять такую заботу о подрастающем поколении обязаны все взрослые. Одним из методов воспитания являВнется личный пример. Поэтому все, кто по характеру работы имеет дело с детьми или подростками, в первую очередь учителя, воспитатели, должны прекратить курение. Известно, что если классный руководитель не курящий, школьников, начинающих курить, значительно меньше.
Растущая заинтересованность людей дышать воздухом, свободным от табачного дыма, привела к ограничению куреВнния в общественных местах во многих странах мира. ОдВнной из первых стран, принявших такое ограничение, была Финляндия. Широко ведется борьба с курением в БолгаВнрии. В городе Выршаце профессии учителей и работников здравоохранения объявлены Влпрофессиями некурящихВ». На четверти домов есть надпись: ВлВ этом доме не курятВ». ЗаВнпрещено курить там, где работают беременные женщины или кормящие матери, в рабочем помещении, если в нем нахоВндится хотя бы один некурящий.
День здоровья в 1980 г. Всемирная организация здравоВнохранения проводила под,Алозунгом: ВлКурение или здоВнровье тАФ выбирайте самиВ». Так, во Франции проводятся общенациональные дни без курения под лозунгами: Влбукет вместо сигаретыВ», Влпрогулка на природу вместо куренияВ». По данным органов здравоохранения Франции, за последние 5 лет перестали курить более 2 млн. французов. В японском городе Уаки с населением около 8,5 тыс. жители решили 3 дня в месяц не курить. По данным опроса, проведенного институтом Гэллапа в 1984 г., когда в США проводился ВлОбщенациональный день борьбы с курениемВ», более 5 млн. американце
Вместе с этим смотрят:
РЖсторiя виникнення та розвитку масажу
Азотные и кислородные ванны, нафталановая нефть
Акушерська операцiя - накладання акушерських щипцiв
